5α-Reductase 2 deficiency

5α-Reductase deficiency
Other names: 5-ARD

5α-Reductase 2 deficiency (5αR2D) is an autosomal recessive condition caused by a mutation in SRD5A2, a gene encoding the enzyme 5α-reductase type 2 (5αR2). The condition is rare, only affects males, and has a broad spectrum of presentations most apparent in the genitalia.

5αR2 is expressed in specific tissues and catalyzes the transformation of testosterone (T) to 5α-dihydrotestosterone (DHT). DHT plays a key role in the process of sexual differentiation in the external genitalia and prostate during development of the male fetus. 5αR2D is a result of impaired 5αR2 activity resulting in decreased DHT levels. This defect results in a spectrum of phenotypes including overt genital ambiguity, female appearing genitalia, hypospadias, penile urethra, and isolated micropenis. Affected males still develop typical masculine features at puberty (deep voice, facial hair, muscle bulk) since most aspects of pubertal virilization are driven by testosterone, not DHT.

Management of this condition in the context of sex assignment is a challenging and controversial area. Diagnostic availability, local laws, parental anxiety all play roles in treatment decisions.

The investigation of 5αR2D as a disease has played a key role in the biochemical characterization of the SRD5A2 gene, the 5αR2 enzyme, and DHT in male sexual differentiation.

Signs and symptoms

Mutations in the SRD5A2 gene can result in a 46,XY disorder of sex development[1] (46,XY DSD) called 5α-reductase 2 deficiency (5αR2D). The mutations are inherited in an autosomal recessive pattern can be either homozygous or, less frequently, compound heterozygous loss-of-function. Affected males exhibit a broad spectrum of presentation including atypical genitalia (ranging from female appearing to undervirilized male), hypospadias, penile urethra, and isolated micropenis. The internal reproductive structures (vasa deferentia, seminal vesicles, epididymides and ejaculatory ducts) are normal but testes are usually undescended and prostate hypoplasia is common. Males with the same mutations in SRD5A2 can have different phenotypes suggesting additional factors that are involved in clinical presentation. Females with the same mutations in SRD5A2 as affected males (as seen in siblings) are unaffected and have normal female phenotypes and reproductive function.[2][3]

Virilization of genitalia with voice deepening, development of muscle mass occur at puberty in affected males and height is not impaired. Gynecomastia is uncommon and bone density is normal in contrast to 46,XY DSD from other causes such as partial androgen insensitivity syndrome and 17β-hydroxysteroid dehydrogenase 3 deficiency. Hair on the face and body is reduced though male pattern baldness does not occur.[2]

Genetics

Two of three isozymes of 5αR can catalyze the transformation of T to DHT, but it is only 5αR2D that causes 46XY, DSD. 5αR2 is encoded by the gene SRD5A2 which is located on the short arm of chromosome 2 and contains five exons and four introns. 5αR2 consists of 254 amino acid residues with reported mutations at 67 of them with multiple different mutations at some residues.[4][2]

The first known mutation SRD5A2 was almost a complete deletion which was discovered from analysis of affected males in Papua New Guinean tribe.[5] The majority of SRD5A2 mutations are missense mutations but small deletions, splice junction mutations, and gross deletions were also observed.[6] Mutations result in a spectrum of activity effects ranging from destabilizing 5αR2 to complete loss of activity.[2]

SRD5A2 mutations are inherited in an autosomal recessive pattern. Homozygous defects are more common than compound heterozygous ones. A phenotype-genotype correlation is not known to exist for many of the most common mutations, and affected males with the same 5αR2 mutations have variable phenotypes suggesting other interacting genetic factors that determine phenotype.[7]

Mechanism

5α-Reductase type 2 (5αR2) is an enzyme, encoded by the SRD5A2 gene, that is expressed in specific tissues in the male body from fetal development to adulthood.[2][8][9] The enzyme catalyzes the transformation of testosterone (T) to 5α-dihydrotestosterone (DHT) intracellularly. DHT is the most potent ligand to the androgen receptor (AR).[10] Upon binding, the DHT-AR complex translocates from cytoplasm to the nucleus and activates the androgen receptor-regulated genes involved in processes that include male sexual differentiation.[11]

Some mutations in 5αR2 impair the synthesis of DHT resulting in 5αR2D. In the male fetus, T mediates Wolffian ductal differentiation while DHT mediates external genital and prostate differentiation.[11] The fact that women with the same 5αR2 mutations as affected male siblings have normal female phenotypes and normal reproductive function supports the notion that 5αR2 does not play an important role in female biology.[2][12][13] Most aspects of virilization in male puberty are driven by testosterone, which is why most affected males undergo virilization at that time.[3]

Though 5αR2D only affects a small number of people, study of this disorder revealed fundamental aspects of 5α-reductases (including cloning of the underlying genes), androgen action, the process of sexual differentiation, and the factors that influence normal sexual behavior.[14]

Biochemical effects of 5-ARD in testosterone biosynthesis. Levels of testosterone are elevated, while levels of DHT are significantly decreased, leading to male undervirilization.

Diagnosis

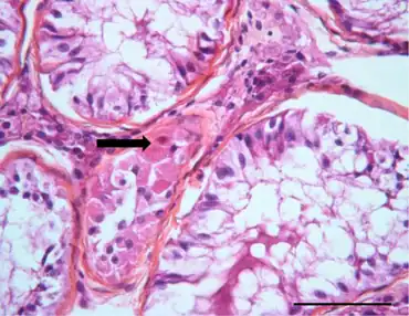
Flattened section of tubule, with Sertoli cells that have oncocytic transformation of cytoplasm arrow

Diagnosis is usually made between birth and puberty. Pseudovaginal perineoscrotal hypospadias presenting with female appearing genitalia and pubertal virilization is the classical syndrome attributed to 5αR2D, but modern diagnostic methods can diagnose the deficiency shortly after birth and recognize the broad spectrum of presentation.[2]

The initial diagnosis of 46,XY DSD is indicated by overt genital abnormality. The objective clinical evaluation of dysmorphic features to diagnose 46,XY DSD for apparent female genitalia include: enlarged clitoris, posterior labial fusion, and inguinal/labial mass. For apparent male genitalia: nonpalpable testes, micropenis, isolated perineal hypospadias, or mild hypospadias with undescended testis. Family history and prenatal history are also taken into account in evaluation. Karyotyping and SRY gene analysis on samples from peripheral leukocytes will exclude sex chromosome abnormalities. With the determination of an XY karyotype and normal SRY, the differential diagnosis of 46,XY DSD is made with endocrinological measurements of T/DHT ratios[15] (which indicate 5αR2 activity) and precise anatomical imaging since 5αR2D can be difficult to distinguish from other causes of 46,XY DSD (e.g., partial androgen insensitivity syndrome and 17β- hydroxysteroid dehydrogenase type 3 enzyme deficiencies).[16]

The measurement of the serum DHT concentration is challenging since the concentrations are low and DHT has a high level of cross-reactivity. A high level of assay specificity is required to measure concentrations of DHT since serum T levels are generally 10 fold higher than DHT in young males. Endocrinological tests for T/DHT ratios can be difficult to interpret since the normal ratio level varies according to age and severity of 5αR2 activity impairment. Affected young males of at least pubertal age with normal serum T levels demonstrate elevated T/DHT levels (normal T, lower than normal DHT). Stimulation with human chorionic gonadotropin (hCG) (alternatively, testosterone enanthate) is required in prepubertal children (with stimulation and samples taken over several days) to increase serum testosterone levels for measurement. Interpreting T/DHT ratios in male newborns is especially challenging due to neonatal testosterone surge[17] and higher than normal 5a-reductase type 1 activity. SRD5A2 gene analysis is recommended for diagnosis in newborns.[18][19] Broadly, 5αR2D is diagnosed with T/DHT ratios greater than 18 while ratios greater than 30 have been observed in severely affected individuals.[2] 5αR2D can also be indicated by low ratios of 5α- to 5ß- reduced steroids, as measured in urine measured via gas chromatography–mass spectrometry.[20]

Ultrasonography is the primary means for assessing internal reproductive organs for diagnosis while genitography and voiding cystourethrography are used to resolve structures such as urethral and vaginal tracts.[21][22] The use of pelvic MRI for diagnostic imaging for 5αR2D remains controversial.[21]

Management

One of the most clinically challenging and controversial topics with 46,XY DSD is the practice of "sex assignment" or "sex of rearing".[23] This is especially so in 5αR2D, since most affected individuals have undervirilized genitalia at birth but virilize to varying degrees at puberty. Historically most 5αR2D individuals have been "raised as females",[24] but later reports show that over half of patients who underwent virilizing puberty adopted a male gender identity thus challenging historical practices.[25][26][27]

The goal of sex assignment/of rearing is to facilitate the greatest likelihood of a concordant gender identity in the patient's adulthood. The factors that contribute to gender identity are complex and not easy to report but some factors that contribute include sex chromosomes, androgen exposure, psychosocial development, cultural expectations, family dynamics and social situation.[23]

Female sex of rearing in 5αR2D individuals involves surgical procedures such as childhood gonadectomy (to prevent virilization at puberty) and vaginoplasty.[16] Life-long hormonal treatments as also required for the development and maintenance of female secondary sex characteristics.[28] Male sex of rearing avoids lifelong hormonal treatments and allow for the potential of fertility.[23] Cryptorchidism and hypospadias must be addressed to prevent damage to the seminiferous tubules that are essential for spermatogenesis and fertility.[29] Diagnosis in infancy is essential before any gender assignment or surgical intervention since patients should be considered males at birth.[16]

The intersection of the child's well being, parental wishes, recommendations of the associated medical team and local laws makes decision making challenging in these cases. The necessity and ethics around consent and deception involved in administering such interventions has been seriously questioned.[30]

Fertility

Spontaneous fertility in 5αR2D affected males is usually not possible[2] (though has been observed[31]) due to semen abnormalities that include reduced sperm counts, high semen viscosity and, in some cases, lack of primary spermatocytes. This supports the notion that DHT has an important role in spermatocyte differentiation.[32] The broad spectrum of presentation is consistent with highly varying sperm counts among affected males. Testicular function may also be impaired by incomplete descent as well as the genetic mutation itself.[16]

Assisted reproduction methods involving sperm extraction and concentration for intrauterine insemination,[33] intracytoplasmic sperm injection,[34] and in vitro fertilization[35] have all demonstrated successful outcomes.

Epidemiology

5αR2D is a rare condition, but has a worldwide distribution. A 2020 study identified 434 cases of 5αR2D across 44 countries including Turkey (23%), China (17%), Italy (9%), and Brazil (7%).[6] The same study also found that genitalia virilization influenced sex assignment while gender change was influenced by cultural aspects across the countries. Molecular diagnosis resulted in favoring male sex assignment in affected newborns.

Many SRD5A2 mutations come from areas with high coefficients of inbreeding.[2] including the Dominican Republic (where people with the condition are called güevedoces - "penis at twelve"),[36] and Papua New Guinea (where it's known as kwolu-aatmwol - suggesting a person's transformation "into a male thing"),[37] and Turkey.[38]

In the Dominican Republic, güevedoces are regarded as a third gender and experience ambivalent gender socialisation. In adulthood, they most commonly self-identify as men (perhaps because of the positions of freedom and power that men hold in their culture), but are not necessarily completely treated as such by society.[37] In the cases in Papua New Guinea, it has been said that the "girl" is shunned when he begins his natural transformation into a male body and socially assumes a male gender role.[39]

History

An autosomal recessive disorder of sex development, described as pseudovaginal perineoscrotal hypospadias (PPSH), was discovered in males in 1961.[40] The main feature of this syndrome was female appearing external genitalia with the presence of bilateral testes and male urogenital tracts in which the ejaculatory ducts terminate in a blind-ending vagina.[2] This disorder was consistent with 5αR2D as the underlying cause as observed in animal models.[31] 5αR2D was confirmed as the cause in humans in 1974, when studies of 24 participants in the Dominican Republic[41] and 2 in Dallas Texas, USA.[42] One of the cases in Dallas began to virilze at puberty and underwent surgery to remove testes and "repair" the apparent clitoromegaly. During surgery, a normal male urogenital tract was observed as well as other features consistent with PPSH. DHT was almost undetectable in cultured fibroblasts from foreskin,[43] epididymis and the presumed "labia majora" whereas in normal males DHT is detected, suggesting impaired DHT formation.[14] Similar conclusions were obtained for participants in a family in the Dominican Republic study in whom high serum concentration ratios of T to DHT and low concentrations of urinary 5a-reduced androgens were observed. This disorder is now known to be due to homozygous or compound heterozygous loss-of-function mutations of the SRD5A2 gene.[4]

Society and culture

Sport

In April 2014, the BMJ reported that four elite women athletes with 5-ARD were subjected to sterilization and "partial clitoridectomies" in order to compete in sport. The authors noted that "partial clitoridectomy" was "not medically indicated, does not relate to real or perceived athletic “advantage,"" relating to elevated androgen levels. The athletes were all from developing countries where lifetime access to hormone replacement may prove elusive.[44] Intersex advocates regard this intervention as "a clearly coercive process".[45]

In the Nip/Tuck season three episode "Quentin Costa", it is revealed that Quentin Costa had 5-ARD.[46]

Jeffrey Eugenides' Pulitzer Prize-winning 2002 novel Middlesex is about a young man with 5-ARD. The character was originally born Calliope and raised as a girl, but upon realizing his genetic sex, he transitions into Cal.[47][48]

Notable people

See also

References

  1. Mendonca, Berenice Bilharinho; Domenice, Sorahia; Arnhold, Ivo J. P.; Costa, Elaine M. F. (February 2009). "46,XY disorders of sex development (DSD): 46,XY disorders of sex development". Clinical Endocrinology. 70 (2): 173–187. doi:10.1111/j.1365-2265.2008.03392.x. PMID 18811725. S2CID 31355974.
  2. 1 2 3 4 5 6 7 8 9 10 11 Mendonca, Berenice B.; Batista, Rafael Loch; Domenice, Sorahia; Costa, Elaine M.F.; Arnhold, Ivo J.P.; Russell, David W.; Wilson, Jean D. (October 2016). "Steroid 5α-reductase 2 deficiency". The Journal of Steroid Biochemistry and Molecular Biology. 163: 206–211. doi:10.1016/j.jsbmb.2016.05.020. PMID 27224879. S2CID 26748233.
  3. 1 2 Imperato-McGinley, J; Zhu, Y.-S (December 2002). "Androgens and male physiology the syndrome of 5α-reductase-2 deficiency". Molecular and Cellular Endocrinology. 198 (1–2): 51–59. doi:10.1016/s0303-7207(02)00368-4. PMID 12573814. S2CID 54356569.
  4. 1 2 Thigpen, A E; Davis, D L; Milatovich, A; Mendonca, B B; Imperato-McGinley, J; Griffin, J E; Francke, U; Wilson, J D; Russell, D W (1 September 1992). "Molecular genetics of steroid 5 alpha-reductase 2 deficiency". Journal of Clinical Investigation. 90 (3): 799–809. doi:10.1172/JCI115954. PMC 329933. PMID 1522235.
  5. Andersson, Stefan; Berman, David M.; Jenkins, Elizabeth P.; Russell, David W. (November 1991). "Deletion of steroid 5α-reductase 2 gene in male pseudohermaphroditism". Nature. 354 (6349): 159–161. Bibcode:1991Natur.354..159A. doi:10.1038/354159a0. PMC 4451825. PMID 1944596.
  6. 1 2 Batista, Rafael Loch; Mendonca, Berenice Bilharinho (14 April 2020). "Integrative and Analytical Review of the 5-Alpha-Reductase Type 2 Deficiency Worldwide". The Application of Clinical Genetics. 13: 83–96. doi:10.2147/TACG.S198178. PMC 7167369. PMID 32346305.
  7. Avendaño, Andrea; Paradisi, Irene; Cammarata-Scalisi, Francisco; Callea, Michele (June 2018). "5-α-Reductase type 2 deficiency: is there a genotype–phenotype correlation? A review". Hormones. 17 (2): 197–204. doi:10.1007/s42000-018-0013-9. PMID 29858846.
  8. Levine, A C; Wang, J P; Ren, M; Eliashvili, E; Russell, D W; Kirschenbaum, A (January 1996). "Immunohistochemical localization of steroid 5 alpha-reductase 2 in the human male fetal reproductive tract and adult prostate". The Journal of Clinical Endocrinology & Metabolism. 81 (1): 384–389. doi:10.1210/jcem.81.1.8550782. PMID 8550782.
  9. Thigpen, A E; Silver, R I; Guileyardo, J M; Casey, M L; McConnell, J D; Russell, D W (1 August 1993). "Tissue distribution and ontogeny of steroid 5 alpha-reductase isozyme expression". Journal of Clinical Investigation. 92 (2): 903–910. doi:10.1172/JCI116665. PMC 294929. PMID 7688765.
  10. Labrie, F; Sugimoto, Y; Luu-The, V; Simard, J; Lachance, Y; Bachvarov, D; Leblanc, G; Durocher, F; Paquet, N (September 1992). "Structure of human type II 5 alpha-reductase gene". Endocrinology. 131 (3): 1571–1573. doi:10.1210/endo.131.3.1505484. PMID 1505484.
  11. 1 2 Azzouni, Faris; Godoy, Alejandro; Li, Yun; Mohler, James (2012). "The 5 Alpha-Reductase Isozyme Family: A Review of Basic Biology and Their Role in Human Diseases". Advances in Urology. 2012: 530121. doi:10.1155/2012/530121. PMC 3253436. PMID 22235201.
  12. Katz, M D; Cai, L Q; Zhu, Y S; Herrera, C; DeFillo-Ricart, M; Shackleton, C H; Imperato-McGinley, J (November 1995). "The biochemical and phenotypic characterization of females homozygous for 5 alpha-reductase-2 deficiency". The Journal of Clinical Endocrinology & Metabolism. 80 (11): 3160–3167. doi:10.1210/jcem.80.11.7593420. PMID 7593420.
  13. Milewich, L; Mendonca, B B; Arnhold, I; Wallace, A M; Donaldson, M D; Wilson, J D; Russell, D W (November 1995). "Women with steroid 5 alpha-reductase 2 deficiency have normal concentrations of plasma 5 alpha-dihydroprogesterone during the luteal phase". The Journal of Clinical Endocrinology & Metabolism. 80 (11): 3136–3139. doi:10.1210/jcem.80.11.7593415. PMID 7593415.
  14. 1 2 Wilson, Jean D.; Griffin, James E.; Russell, David W. (October 1993). "Steroid 5α-Reductase 2 Deficiency*". Endocrine Reviews. 14 (5): 577–593. doi:10.1210/edrv-14-5-577. PMID 8262007.
  15. Hiort, Olaf; Willenbring, Holger; Albers, Norbert; Hecker, Wolfgang; Engert, Jürgen; Dibbelt, Leif; Sinnecker, Gernot H. G. (June 1996). "Molecular genetic analysis and human chorionic gonadotropin stimulation tests in the diagnosis of prepubertal patients with partial 5α-reductase deficiency". European Journal of Pediatrics. 155 (6): 445–451. doi:10.1007/BF01955179. PMID 8789759. S2CID 24236741.
  16. 1 2 3 4 Cheon, Chong Kun (January 2011). "Practical approach to steroid 5alpha-reductase type 2 deficiency". European Journal of Pediatrics. 170 (1): 1–8. doi:10.1007/s00431-010-1189-4. PMID 20349245. S2CID 25945759.
  17. Clarkson, Jenny; Herbison, Allan E. (19 February 2016). "Hypothalamic control of the male neonatal testosterone surge". Philosophical Transactions of the Royal Society B: Biological Sciences. 371 (1688): 20150115. doi:10.1098/rstb.2015.0115. PMC 4785901. PMID 26833836.
  18. Achermann, John C.; Domenice, Sorahia; Bachega, Tania A. S. S.; Nishi, Mirian Y.; Mendonca, Berenice B. (August 2015). "Disorders of sex development: effect of molecular diagnostics". Nature Reviews Endocrinology. 11 (8): 478–488. doi:10.1038/nrendo.2015.69. PMID 25942653. S2CID 19704336. Archived from the original on 2021-05-07. Retrieved 2022-01-02.
  19. Maimoun, Laurent; Philibert, Pascal; Cammas, Benoit; Audran, Françoise; Bouchard, Philippe; Fenichel, Patrick; Cartigny, Maryse; Pienkowski, Catherine; Polak, Michel; Skordis, Nicos; Mazen, Inas; Ocal, Gonul; Berberoglu, Merih; Reynaud, Rachel; Baumann, Clarisse; Cabrol, Sylvie; Simon, Dominique; Kayemba-Kay's, Kabangu; De Kerdanet, Marc; Kurtz, François; Leheup, Bruno; Heinrichs, Claudine; Tenoutasse, Sylvie; Van Vliet, Guy; Grüters, Annette; Eunice, Marumudi; Ammini, Ariachery C.; Hafez, Mona; Hochberg, Ze'ev; Einaudi, Sylvia; Al Mawlawi, Horia; del Valle Nuñez, Cristóbal J.; Servant, Nadège; Lumbroso, Serge; Paris, Françoise; Sultan, Charles (February 2011). "Phenotypical, Biological, and Molecular Heterogeneity of 5α-Reductase Deficiency: An Extensive International Experience of 55 Patients". The Journal of Clinical Endocrinology & Metabolism. 96 (2): 296–307. doi:10.1210/jc.2010-1024. PMID 21147889.
  20. Chan, Angel On Kei; But, Betty Wai Man; Lee, Ching Yin; Lam, Yuen Yu; Ng, Kwok Leung; Tung, Joanna Yuet Ling; Kwan, Elaine Yin Wah; Chan, Yuk Kit; Tsui, Teresa Kam Chi; Lam, Almen Lai Na; Tse, Wing Yee; Cheung, Pik To; Shek, Chi Chung (1 May 2013). "Diagnosis of 5α-Reductase 2 Deficiency: Is Measurement of Dihydrotestosterone Essential?". Clinical Chemistry. 59 (5): 798–806. doi:10.1373/clinchem.2012.196501. PMID 23513070.
  21. 1 2 Chavhan, Govind B.; Parra, Dimitri A.; Oudjhane, Kamaldine; Miller, Stephen F.; Babyn, Paul S.; Pippi Salle, Foao L. (November 2008). "Imaging of Ambiguous Genitalia: Classification and Diagnostic Approach". RadioGraphics. 28 (7): 1891–1904. doi:10.1148/rg.287085034. PMID 19001646.
  22. Parisi, Melissa A; Ramsdell, Linda A; Burns, Mark W; Carr, Michael C; Grady, Richard E; Gunther, Daniel F; Kletter, Gadi B; McCauley, Elizabeth; Mitchell, Michael E; Opheim, Kent E; Pihoker, Catherine; Richards, Gail E; Soules, Michael R; Pagon, Roberta A (June 2007). "A Gender Assessment Team: experience with 250 patients over a period of 25 years". Genetics in Medicine. 9 (6): 348–357. doi:10.1097/GIM.0b013e3180653c47. PMID 17575501. S2CID 21141446.
  23. 1 2 3 Byers, Heather M.; Mohnach, Lauren H.; Fechner, Patricia Y.; Chen, Ming; Thomas, Inas H.; Ramsdell, Linda A.; Shnorhavorian, Margarett; McCauley, Elizabeth A.; Amies Oelschlager, Anne-Marie E.; Park, John M.; Sandberg, David E.; Adam, Margaret P.; Keegan, Catherine E. (June 2017). "Unexpected ethical dilemmas in sex assignment in 46,XY DSD due to 5-alpha reductase type 2 deficiency". American Journal of Medical Genetics Part C: Seminars in Medical Genetics. 175 (2): 260–267. doi:10.1002/ajmg.c.31560. PMC 5489130. PMID 28544750.
  24. Kolesinska, Z; Ahmed, SF; Niedziela, M; Bryce, J; Molinska-Glura, M; Rodie, M; Jiang, J; Sinnott, RO; Hughes, IA; Darendeliler, F; Hiort, O; van der Zwan, Y; Cools, M; Guran, T; Holterhus, PM; Bertelloni, S; Lisa, L; Arlt, W; Krone, N; Ellaithi, M; Balsamo, A; Mazen, I; Nordenstrom, A; Lachlan, K; Alkhawari, M; Chatelain, P; Weintrob, N (September 2014). "Changes over time in sex assignment for disorders of sex development". Pediatrics. 134 (3): e710-5. doi:10.1542/peds.2014-1088. PMID 25092939. S2CID 9316947.
  25. Cohen-Kettenis, PT (August 2005). "Gender change in 46,XY persons with 5alpha-reductase-2 deficiency and 17beta-hydroxysteroid dehydrogenase-3 deficiency". Archives of Sexual Behavior. 34 (4): 399–410. doi:10.1007/s10508-005-4339-4. PMID 16010463. S2CID 146495456.
  26. Costa, EM; Domenice, S; Sircili, MH; Inacio, M; Mendonca, BB (October 2012). "DSD due to 5α-reductase 2 deficiency - from diagnosis to long term outcome". Seminars in Reproductive Medicine. 30 (5): 427–31. doi:10.1055/s-0032-1324727. PMID 23044880.
  27. Maimoun, L; Philibert, P; Cammas, B; Audran, F; Bouchard, P; Fenichel, P; Cartigny, M; Pienkowski, C; Polak, M; Skordis, N; Mazen, I; Ocal, G; Berberoglu, M; Reynaud, R; Baumann, C; Cabrol, S; Simon, D; Kayemba-Kay's, K; De Kerdanet, M; Kurtz, F; Leheup, B; Heinrichs, C; Tenoutasse, S; Van Vliet, G; Grüters, A; Eunice, M; Ammini, AC; Hafez, M; Hochberg, Z; Einaudi, S; Al Mawlawi, H; Nuñez, CJ; Servant, N; Lumbroso, S; Paris, F; Sultan, C (February 2011). "Phenotypical, biological, and molecular heterogeneity of 5α-reductase deficiency: an extensive international experience of 55 patients". The Journal of Clinical Endocrinology and Metabolism. 96 (2): 296–307. doi:10.1210/jc.2010-1024. PMID 21147889.
  28. Hughes, IA; Houk, C; Ahmed, SF; Lee, PA; Lawson Wilkins Pediatric Endocrine Society/European Society for Paediatric Endocrinology Consensus, Group. (June 2006). "Consensus statement on management of intersex disorders". Journal of Pediatric Urology. 2 (3): 148–62. doi:10.1016/j.jpurol.2006.03.004. PMID 18947601.
  29. Nordenskjöld, A; Ivarsson, SA (September 1998). "Molecular characterization of 5 alpha-reductase type 2 deficiency and fertility in a Swedish family". The Journal of Clinical Endocrinology and Metabolism. 83 (9): 3236–8. doi:10.1210/jcem.83.9.5125. PMID 9745434.
  30. Dreger, Alice Domurat (May 1998). ""Ambiguous Sex": Or Ambivalent Medicine? Ethical Issues in the Treatment of Intersexuality". The Hastings Center Report. 28 (3): 24–35. doi:10.2307/3528648. JSTOR 3528648. PMID 9669179.
  31. 1 2 Deykin, Daniel; Balko, Christine; Wilson, Jean D. (21 December 1972). "Recent Studies on the Mechanism of Action of Testosterone". New England Journal of Medicine. 287 (25): 1284–1291. doi:10.1056/NEJM197212212872508. PMID 4119318.
  32. Costa, Elaine; Domenice, Sorahia; Sircili, Maria; Inacio, Marlene; Mendonca, Berenice (8 October 2012). "DSD Due to 5α-Reductase 2 Deficiency - from Diagnosis to Long Term Outcome". Seminars in Reproductive Medicine. 30 (5): 427–431. doi:10.1055/s-0032-1324727. PMID 23044880.
  33. Katz, Melissa D.; Kligman, Isaac; Cai, Li-Qun; Zhu, Yuan-Shan; Fratianni, Carmel M.; Zervoudakis, Ioannis; Rosenwaks, Zev; Imperato-McGinley, Julianne (3 April 1997). "Paternity by Intrauterine Insemination with Sperm from a Man with 5α-Reductase-2 Deficiency". New England Journal of Medicine. 336 (14): 994–998. doi:10.1056/NEJM199704033361404. PMID 9077378.
  34. Matsubara, Keiko; Iwamoto, Hideki; Yoshida, Atsumi; Ogata, Tsutomu (December 2010). "Semen analysis and successful paternity by intracytoplasmic sperm injection in a man with steroid 5α-reductase-2 deficiency". Fertility and Sterility. 94 (7): 2770.e7–2770.e10. doi:10.1016/j.fertnstert.2010.04.013. PMID 20493473.
  35. Kang, Hey-Joo; Imperato-McGinley, Julianne; Zhu, Yuan-Shan; Cai, Li-Qun; Schlegel, Peter; Palermo, Gianpiero; Rosenwaks, Zev (May 2011). "The first successful paternity through in vitro fertilization–intracytoplasmic sperm injection with a man homozygous for the 5α-reductase-2 gene mutation". Fertility and Sterility. 95 (6): 2125.e5–2125.e8. doi:10.1016/j.fertnstert.2011.01.121. PMID 21334614.
  36. "The extraordinary case of the Guevedoces". BBC News. 20 September 2015. Archived from the original on 23 September 2015. Retrieved 2 January 2022.
  37. 1 2 Fausto-Sterling, Anne (2000). Sexing the Body: Gender politics and the construction of sexuality (1st ed.). New York, NY: Basic Books. p. 109. ISBN 0465077145.
  38. Jong, Diana Mettadewi (2016). "5-alpha-reductase deficiency: a case report". Indonesian Pediatric Society. 43 (6): 234–240. doi:10.14238/pi43.6.2003.234-40. Archived from the original on 28 October 2020. Retrieved 24 October 2020.
  39. Imperato-McGinley J, Miller M, Wilson JD, Peterson RE, Shackleton C, Gajdusek DC (Apr 1991). "A cluster of male pseudohermaphrodites with 5 alpha-reductase deficiency in Papua New Guinea". Clin Endocrinol. 34 (4): 293–8. doi:10.1111/j.1365-2265.1991.tb03769.x. PMID 1831738. S2CID 84664559.
  40. NOWAKOWSKI, H; LENZ, W (1961). "Genetic aspects in male hypogonadism". Recent Progress in Hormone Research. 17: 53–95. PMID 13729828.
  41. Imperato-McGinley, J; Guerrero, L; Gautier, T; Peterson, RE (27 December 1974). "Steroid 5alpha-reductase deficiency in man: an inherited form of male pseudohermaphroditism". Science. 186 (4170): 1213–5. Bibcode:1974Sci...186.1213I. doi:10.1126/science.186.4170.1213. PMID 4432067. S2CID 36427689.
  42. Walsh, PC; Madden, JD; Harrod, MJ; Goldstein, JL; MacDonald, PC; Wilson, JD (31 October 1974). "Familial incomplete male pseudohermaphroditism, type 2. Decreased dihydrotestosterone formation in pseudovaginal perineoscrotal hypospadias". The New England Journal of Medicine. 291 (18): 944–9. doi:10.1056/NEJM197410312911806. PMID 4413434.
  43. Moore, R J; Griffin, J E; Wilson, J D (September 1975). "Diminished 5alpha-reductase activity in extracts of fibroblasts cultured from patients with familial incomplete male pseudohermaphroditism, type 2". Journal of Biological Chemistry. 250 (18): 7168–7172. doi:10.1016/S0021-9258(19)40924-1.
  44. Rebecca Jordan-Young; Peter Sonksen; Katrina Karkazis (2014). "Sex, health, and athletes". BMJ. 348: g2926. doi:10.1136/bmj.g2926. PMID 24776640. S2CID 2198650. Archived from the original on 2014-09-11. Retrieved 2022-01-02.
  45. "UN Human Rights Council: resolution, statement and side event, "The time has come"". Organisation Intersex International Australia. 2014-09-11. Archived from the original on 2021-02-06. Retrieved 2 February 2021.
  46. Steinhoff, H. (26 May 2015). Transforming Bodies: Makeovers and Monstrosities in American Culture. Springer. ISBN 978-1-137-49379-8.
  47. Hsu, Stephanie (2011). "Ethnicity and the Biopolitics of Intersex in Jeffrey Eugenides's "Middlesex"". MELUS. 36 (3): 87–110. doi:10.1353/mel.2011.0045. ISSN 0163-755X. JSTOR 23035264. S2CID 146517414. Archived from the original on 26 December 2021. Retrieved 26 December 2021.
  48. "Jeffrey Eugenides's Middlesex gave me the courage to take risks in my writing | Nadifa Mohamed". the Guardian. 25 August 2014. Archived from the original on 26 December 2021. Retrieved 26 December 2021.
  49. Ingle, Sean (June 18, 2019). "Caster Semenya accuses IAAF of using her as a 'guinea pig experiment'". The Guardian. Archived from the original on December 8, 2021. Retrieved January 2, 2022.
Classification
External resources
This article is issued from Wmcloud. The text is licensed under Creative Commons - Attribution - Sharealike. Additional terms may apply for the media files.