Parsonage–Turner syndrome

Parsonage–Turner syndrome
Other names: acute brachial radiculitis,[1] Parsonage–Aldren–Turner syndrome', neuralgic amyotrophy,[2] brachial neuritis, brachial plexus neuropathy,[3] brachial plexitis, acute brachial neuropathy
The right brachial plexus with its short branches, viewed from in front.

Parsonage–Turner syndrome, also known as acute brachial neuropathy and neuralgic amyotrophy and abbreviated PTS, is a syndrome of unknown cause; although many specific risk factors have been identified (such as; post-operative, post-infectious, post-traumatic or post-vaccination),[4] the cause is still unknown. The condition manifests as a rare set of symptoms most likely resulting from autoimmune inflammation of unknown cause of the brachial plexus.[5]

Parsonage–Turner syndrome occurs in about 1.6 people per 100,000 per year.[6]

Signs and symptoms

This syndrome can begin with severe shoulder or arm pain followed by weakness and numbness.[5] Those who suffer from Parsonage–Turner experience acute, sudden-onset pain radiating from the shoulder to the upper arm. Affected muscles become weak and atrophied, and in advanced cases, paralyzed. Occasionally, there will be no pain and just paralysis, and sometimes just pain, not ending in paralysis. MRI may assist in diagnosis.[7] Scapular winging is commonly seen.

Mechanism

Parsonage-Turner involves neuropathy of the suprascapular nerve in 97% of cases, and variably involves the axillary and subscapular nerves. As such, the muscles usually involved are the supraspinatus and infraspinatus, which are both innervated by the suprascapular nerve. Involvement of the deltoid is more variable, as it is innervated by the axillary nerve.[8]

Diagnosis

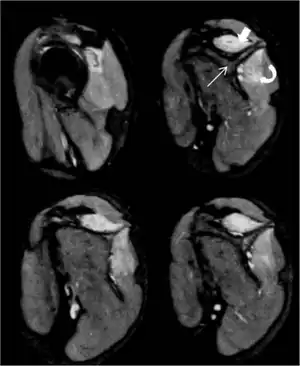
Magnetic resonance imaging shows edema in suprasinatus solid arrow and infraspinatus curved arrow muscles; scapula straight arrow

Diagnosis often takes three to nine months to be made, as the condition is often unrecognised by physicians.[9]

Differential diagnosis

The differential focuses on distinguishing it from similar entities such as quadrilateral space syndrome, which involves the teres minor and variably the deltoid, and suprascapular nerve impingement at the spinoglenoid notch, which predominantly involves the infraspinatus.[8]

Treatment

The management of this condition is based on surgery to de-compress any constricted nerve(s).Pain medications may be used but depend on severity of nerve pain. [10]

Prognosis

Despite its wasting and at times long-lasting effects, most cases are resolved by the body's healing system, and recovery is usually good in 18–24 months, depending on how old the person in question is. For instance, a six-year-old could have brachial neuritis for only around 6 months, but a person in their early fifties could have it for over 3 years.

It was traditionally thought that most people would regain around 70-90% of their original strength and function levels,[11] however most recent studies suggest that long-term complications are more common than previously thought.[12]

Eponym

It is named after British neurologists Maurice Parsonage and John Turner,[13][14] who described 136 cases in a 1948 Lancet publication.[15][4] Other cases with similar symptom presentation had previously been published as early as 1897, but these publications were not as extensive as Parsonage and Turner's 1948 publication.[4]

See also

References

  1. Wheeless, Clifford R. (30 August 2009). "Parsonage-Turner Syndrome". Wheeless' Textbook of Orthopedics @ wheelessonline.com. Archived from the original on 2018-10-11. Retrieved 2009-10-11.
  2. Cary D. Alberstone; Michael Steinmetz; Edward C. Benzel (28 January 2009). Anatomic Basis of Neurologic Diagnosis. Thieme. pp. 105–. ISBN 978-0-86577-976-1. Archived from the original on 26 May 2013. Retrieved 4 November 2010.
  3. Charles A. Rockwood (14 January 2009). The Shoulder. Elsevier Health Sciences. pp. 1376–. ISBN 978-1-4160-3427-8. Archived from the original on 26 May 2013. Retrieved 4 November 2010.
  4. 1 2 3 Feinberg JH, Radecki J (2010). "Parsonage-turner syndrome". HSS J. 6 (2): 199–205. doi:10.1007/s11420-010-9176-x. PMC 2926354. PMID 21886536.
  5. 1 2 "NINDS Brachial Plexus Injuries: Information Page". National Institute of Neurological Disorders and Stroke. September 29, 2008. Archived from the original on 2016-12-02. Retrieved 2009-10-11.
  6. Beghi E, Kurland LT, Mulder DW, Nicolosi A (1985). "Brachial plexus neuropathy in the population of Rochester, Minnesota, 1970-1981". Ann. Neurol. 18 (3): 320–3. doi:10.1002/ana.410180308. PMID 2996415.
  7. William E. Brant; Clyde A. Helms (2007). Fundamentals of diagnostic radiology. Lippincott Williams & Wilkins. pp. 1–. ISBN 978-0-7817-6135-2. Archived from the original on 26 May 2013. Retrieved 4 November 2010.
  8. 1 2 Frank Gaillard MD. "Parsonage-Turner syndrome". Radiopaedia. Archived from the original on 2015-10-18. Retrieved 2021-10-05.
  9. van Alfen, Nens; van Engelen, Baziel GM; Hughes, Richard AC (2008-01-23). Van Alfen, Nens (ed.). "Treatment for idiopathic and hereditary neuralgic amyotrophy (brachial neuritis)". Cochrane Database of Systematic Reviews. Chichester, UK: John Wiley & Sons, Ltd. doi:10.1002/14651858.cd006976. Archived from the original on 2022-01-16. Retrieved 2021-10-05.
  10. "Parsonage Turner syndrome | Genetic and Rare Diseases Information Center (GARD) – an NCATS Program". rarediseases.info.nih.gov. Archived from the original on 8 June 2021. Retrieved 15 January 2022.
  11. "Parsonage Turner Syndrome". National Organization for Rare Disorders. Archived from the original on 2021-08-13. Retrieved 2021-10-05.
  12. "Parsonage Turner syndrome". Genetic and Rare Diseases Information Center. National Center for Advancing Translational Sciences. Archived from the original on 2021-06-08. Retrieved 2021-10-05.
  13. synd/1910 at Who Named It?
  14. Parsonage MJ, Turner JW (June 1948). "Neuralgic amyotrophy; the shoulder-girdle syndrome". Lancet. 1 (6513): 973–8. doi:10.1016/S0140-6736(48)90611-4. PMID 18866299.
  15. Sanders, Lisa (19 November 2020). "He Finished His First Marathon. Then His Arm Felt Weak". New York Times. Retrieved 21 November 2020.
Classification


This article is issued from Wmcloud. The text is licensed under Creative Commons - Attribution - Sharealike. Additional terms may apply for the media files.