Gradenigo's syndrome
Gradenigo's syndrome | |
---|---|
![]() | |
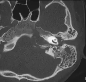
Apicitis petrosa as seen in computed tomography | |
![]() |
Gradenigo's syndrome, also called Gradenigo-Lannois syndrome,[1][2] is a complication of otitis media and mastoiditis involving the apex of the petrous temporal bone. It was first described by Giuseppe Gradenigo in 1904.[3]
Symptoms and signs
Components of the syndrome include:
- Retroorbital pain due to pain in the area supplied by the ophthalmic branch of the trigeminal nerve (fifth cranial nerve),
- Abducens nerve palsy (sixth cranial nerve)[4]
- Otitis media
Other symptoms can include photophobia, excessive lacrimation, fever, and reduced corneal sensitivity. The syndrome is classically caused by the spread of an infection into the petrous apex of the temporal bone.
Risk factors
Among the possible risk factors for Gradenigo syndrome are:[5]
- Diabetics
- Immunocompromised individuals
- Extensively pneumatized petrous apices
Diagnosis

The constellation of symptoms was first described as a consequence of severe, advanced ear infection which has spread to a central portion of the temporal bone of the skull. This type of presentation was common prior to development of antibiotic treatments, and is now a rare complication.
In persons with longstanding ear infection and typical symptoms, medical imaging such as CT or MRI of the head may show changes that confirm disease involvement of the petrous apex of temporal bone.
Treatment
The medical treatment is done with antibiotics: ceftriaxone plus metronidazole (which covers anaerobic bacteria). Depending on the duration of the infection, the severity, and which complications have arisen, it may also be necessary to perform surgery. Due to critical structures that block surgical access, it is not possible to completely remove the petrous apex. The focus is therefore on providing adequate drainage of the affected air cells.[6]
Eponym
It is named after Count Giuseppe Gradenigo, an Italian Otolaryngologist, and Maurice Lannois.[7]
References
- ↑ Devic M, Boucher M, Raveau M (April 1966). "[Some cases of Gradenigo-Lannois syndrome]". Journal de Médecine de Lyon. 47 (96): 537–47. PMID 4286558.
- ↑ Bléry M, Chagnon S, Picard A, Babin C (November 1980). "[Cranial osteitis: a report on four cases, including a Gradenigo-Lannois syndrome (author's transl)]". Journal de Radiologie. 61 (11): 677–81. PMID 7452536.
- ↑ Pedroso JL, de Aquino CC, Abrahão A, de Oliveira RA, Pinto LF, Bezerra ML, Gonçalves Silva AB, de Macedo FD, de Melo Mendes AV, Barsottini OG (February 2011). "Gradenigo's Syndrome: Beyond the Classical Triad of Diplopia, Facial Pain and Otorrhea". Case Reports in Neurology. 3 (1): 45–7. doi:10.1159/000324179. PMC 3072192. PMID 21490711.
- ↑ Motamed M, Kalan A (September 2000). "Gradenigo's syndrome". Postgraduate Medical Journal. 76 (899): 559–60. doi:10.1136/pmj.76.899.559. PMC 1741722. PMID 10964120.
- ↑ "Gradenigo Syndrome - EyeWiki". eyewiki.aao.org. Archived from the original on 17 September 2021. Retrieved 26 September 2022.
- ↑ Budenz, Cameron; El-Kashlan, Hussam. Cummings Otolaryngology - Head and Neck Surgery (7 ed.). p. 2144.
- ↑ synd/738 at Who Named It?
External links
Classification |
---|