Grynfeltt–Lesshaft hernia
Grynfeltt–Lesshaft hernia | |
---|---|
![]() | |
The superior and inferior lumbar triangles with a cross section at the level of the superior lumbar triangle | |
![]() |
Grynfeltt–Lesshaft hernia is a herniation of abdominal contents through the back, specifically through the superior lumbar triangle, which is defined by the quadratus lumborum muscle, twelfth rib, and internal oblique muscle.
Grynfeltt described a hernia through the superior lumbar triangle in 1866 (Grynfeltt, 1866). In 1870, Lesshaft independently reported a similar case (Lesshaft, 1870).
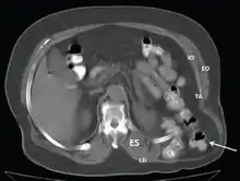
- CT scan-Grynfeltt-Lesshaft hernia.
See also
References
- Grynfeltt, J.: La Hernie Lombaire. Montpellier Med., 16:329, 1866.
- Lesshaft, P.: Die Lumbalgegend in Anat. Chirurgischer Hinsicht. Arch. f. Anat. u. Physiol. u. Wissensch., Med. Leipzig, 37:264, 1870.
This article is issued from Wmcloud. The text is licensed under Creative Commons - Attribution - Sharealike. Additional terms may apply for the media files.