Parathyroid carcinoma

Parathyroid carcinoma
Parathyroid gland anatomy(green marks)
SpecialtyOncology, ENT surgery

Parathyroid carcinoma is a rare cancer resulting in parathyroid adenoma to carcinoma progression.[1] It forms in tissues of one or more of the parathyroid glands (four pea-sized glands in the neck that make parathyroid hormone (PTH). PTH helps the body maintain normal levels of serum calcium by promoting calcium reabsorption from bone. It is antagonized by the hormone calcitonin, which prompts calcium storage.).

It is rare,[2] and much less common than parathyroid adenoma. It can be difficult to excise.[3]

Signs and symptoms

Most patients experience moderate to severe hypercalcemia and high parathyroid hormone levels. A large mass in the neck is often seen, and kidney and bone abnormalities are common.[1]

Risk factors

Parathyroid cancer occurs in midlife at the same rate in men and women.

Conditions that appear to result in an increased risk of parathyroid cancer include multiple endocrine neoplasia type 1,[4] autosomal dominant familial isolated hyperparathyroidism[4] and hyperparathyroidism-jaw tumor syndrome[1] (which also is hereditary).[1] Parathyroid cancer has also been associated with external radiation exposure, but, most reports describe an association between radiation and the more common parathyroid adenoma.[4]

Diagnosis

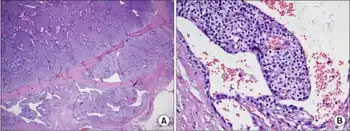
a) Capsular invasion and thick fibrous bands ) Parathyroid carcinoma indicating vascular invasion

The diagnosis of this condition is done via the following:[5]

  • Genetic techniques
  • Laboratory techniques
  • Imaging techniques

Malignancy is per indication of metastasis, ultrasonographic features, and results of hormone assays. [5]

Treatment

Parathyroid carcinoma is sometimes diagnosed during surgery for primary hyperparathyroidism. If the surgeon suspects carcinoma based on severity or invasion of surrounding tissues by a firm parathyroid tumor, aggressive excision is performed, including the thyroid and surrounding tissues as necessary.[1]

Agents such as calcimimetics (for example, cinacalcet) are used to mimic calcium and are able to activate the parathyroid calcium-sensing receptor (making the parathyroid gland "think" we have more calcium than we actually do), therefore lowering the calcium level, in an attempt to decrease the hypercalcemia.

References

  1. 1 2 3 4 5 Hu MI, Vassilopoulou-Sellin R, Lustig R, Lamont JP. "Thyroid and Parathyroid Cancers" Archived 2010-02-28 at the Wayback Machine in Pazdur R, Wagman LD, Camphausen KA, Hoskins WJ (Eds) Cancer Management: A Multidisciplinary Approach Archived 2013-10-04 at the Wayback Machine. 11 ed. 2008.
  2. Lee JE (July 2005). "Predicting the presence of parathyroid carcinoma". Ann. Surg. Oncol. 12 (7): 513–4. doi:10.1245/ASO.2005.03.904. PMID 15952075.
  3. "Endocrine Pathology". Archived from the original on 2017-08-23. Retrieved 2009-05-08.
  4. 1 2 3 Parathyroid Cancer Treatment Archived 2015-04-04 at the Wayback Machine at National Cancer Institute. Last Modified: 03/11/2009.
  5. 1 2 Schulte, Klaus-Martin; Talat, Nadia (October 2012). "Diagnosis and management of parathyroid cancer". Nature Reviews. Endocrinology. 8 (10): 612–622. doi:10.1038/nrendo.2012.102. ISSN 1759-5037. Archived from the original on 11 January 2022. Retrieved 1 January 2022.
Classification
External resources

 This article incorporates public domain material from the U.S. National Cancer Institute document: "Dictionary of Cancer Terms".

This article is issued from Wmcloud. The text is licensed under Creative Commons - Attribution - Sharealike. Additional terms may apply for the media files.