
Small-cell melanoma
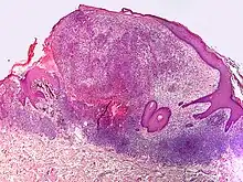
Small-cell melanoma, also known as melanoma with small nevus-like cells, is a cutaneous condition, a tumor that contains variably-sized, large nests of small melanocytes with hyperchromatic nuclei and prominent nucleoli.[1]
See also
References
This article is issued from Wikipedia. The text is licensed under Creative Commons - Attribution - Sharealike. Additional terms may apply for the media files.