Acute zonal occult outer retinopathy
| Acute zonal occult outer retinopathy | |
|---|---|
| Other names: AZOOR | |
![]() | |
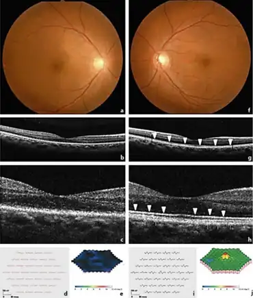
| a,f) Fundus image normal b,c)show absent photoreceptor IS/OS line g,h)in left eye IS/OS line & COST line were detected d,e,i,j)reduced responses in the right eye | |
| Specialty | Ophthalmology |
Acute zonal occult outer retinopathy (AZOOR) is an inflammatory retinopathy in the category of white dot syndromes typified by acute loss of one or more zones of outer retinal function associated with photopsia, minimal funduscopic changes and abnormal electroretinography findings.[1][2]
This retinal disease was first described by Gass in 1992.[3] Relatively little is known about the condition.
Signs and symptoms
The clinical presentation of this condition are as follows:[3]
- Photopsia
- Decreased visual acuity
Risk factors
Caucasian females in their mid-thirties appear to be most susceptible but the disease may affect anyone regardless of age, sex or race.[3]
Pathophysiology
The disease mechanism is unknown but it is believed that it may be caused by a virus.[3]
Diagnosis
The evaluation for this condition is done by the following procedures:[3]
- Adaptive Optics
- Visual field testing
- Electrophysiology
- Optical Coherence Tomography (OCT)
- Fundus Autofluorescence (FAF)
- Fundus Fluorescein Angiography (FFA)
- Indocyanine Green Angiography (ICG)
Treatment
The management of this condition,Acute zonal occult outer retinopathy, is done via systemic corticosteroids[4]
References
- ↑ Quillen DA, Davis JB, Gottlieb JL, Blodi BA, Callanan DG, Chang TS, et al. The white dot syndromes. American Journal of Ophthalmology. 2004;137(3):538-50.
- ↑ Carrasco L, Ramos M, Galisteo R, Pisa D, Fresno M, Gonzalez ME. Isolation of Candida famata from a Patient with Acute Zonal Occult Outer Retinopathy. J Clin Microbiol. 2005;43(2):635-40.
- 1 2 3 4 5 "AZOOR". American Academy of Ophthalmology. Archived from the original on 2021-01-24.Hugo R. Salcedo, MD, Koushik Tripathy, MD (AIIMS), FRCS (Glasgow) and Vinay A. Shah M.D.
- ↑ "Acute zonal occult outer retinopathy | Genetic and Rare Diseases Information Center (GARD) – an NCATS Program". rarediseases.info.nih.gov. Archived from the original on 3 July 2021. Retrieved 14 November 2021.
External links
| External resources |
|
|---|
