Anton syndrome

Anton Syndrome
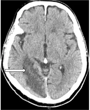
Anton syndrome because of Bilateral Ischemic Occipital Lobe Strokes-image indicates nonhemorrhagic cerebral infarction arrow
SpecialtyNeurology

Anton syndrome, also known as Anton's blindness and visual anosognosia, is a rare symptom of brain damage occurring in the occipital lobe. Those who have it are cortically blind, but affirm, often quite adamantly and in the face of clear evidence of their blindness, that they are capable of seeing. Failing to accept being blind, people with Anton syndrome dismiss evidence of their condition and employ confabulation to fill in the missing sensory input. It is named after the neurologist Gabriel Anton. Only 28 cases have been published.[1] Although sometimes the two terms are used as synonymous, Anton syndrome must not be confused with Anton–Babinski syndrome[2] which is characterised clinically by contralateral sensory neglect, anosognosia with associated affective indifference toward the condition (anosodiaphoria), construction and dressing apraxia Archived 2020-04-22 at the Wayback Machine Archived 2020-04-22 at the Wayback Machine. Anton–Babinski syndrome is the right-hemisphere equivalent of Gerstmann syndrome and it is due to non-dominant inferior parietal lobule damage.

Signs and symptoms

Anton syndrome is mostly seen following a stroke, but may also be seen after head injury. Neurologist Macdonald Critchley describes it thus:

The sudden development of bilateral occipital dysfunction is likely to produce transient physical and psychical effects in which mental confusion may be prominent. It may be some days before the relatives, or the nursing staff, stumble onto the fact that the patient has actually become sightless. This is not only because the patient ordinarily does not volunteer the information that they have become blind, but he furthermore misleads his entourage by behaving and talking as though they were sighted. Attention is aroused however when the patient is found to collide with pieces of furniture, to fall over objects, and to experience difficulty in finding his way around. They may try to walk through a wall or through a closed door on his way from one room to another. Suspicion is still further alerted when they begin to describe people and objects around them which, as a matter of fact, are not there at all.

Thus we have the twin symptoms of anosognosia (or lack of awareness of defect) and confabulation, the latter affecting both speech and behaviour.[3]

Anton syndrome may be thought of ideally as the opposite of blindsight, blindsight occurring when part of the visual field is not consciously experienced, but some reliable perception does in fact occur.

Causes

Why patients with Anton syndrome deny their blindness is unknown, although there are many theories. One hypothesis is that damage to the visual cortex results in the inability to communicate with the speech-language areas of the brain. Visual imagery is received but cannot be interpreted; the speech centers of the brain confabulate a response.[4]

Patients have also reported visual anosognosia after experiencing ischemic vascular cerebral disease. A 96-year-old man, who was admitted to an emergency department complaining of a severe headache and sudden loss of vision, was discovered to have had a posterior cerebral artery thrombosis with consequent loss of vision. He adamantly claimed he was able to see despite an ophthalmologic exam proving otherwise. An MRI of his brain proved that his right occipital lobe was ischemic. Similarly, a 56-year-old woman was admitted to the emergency department in a confused state and with severely handicapped psychomotor skills. Ocular movements and pupil reflexes were still intact, but the patient could not name objects and was not aware of light changes in the room, and seemed unaware of her visual deficit.

Diagnosis

The evaluation to determine if an individual has the condition is as follows:[5]

  • Neuroophthalmological evaluation (field of vision)
  • Brain MRI
  • Echocardiogram
  • Carotid doppler

Management

The treatment depends upon the cause of the condition (if stroke, then antiplatelet agent)[5]

History

Most cases of Anton syndrome are reported from adults. The European Journal of Neurology published an article in 2007 that examines a case study of a six-year-old child with Anton syndrome and early stages of adrenoleukodystrophy. The child reportedly had abnormal eye movements, would often fall, and would reach for things and often miss his target. When his sight was tested at 20/20 he was still unable to read the large letters on the chart. He denied having headaches, diplopia, or eye pain and seemed unconcerned and unaware of his poor eyesight. Upon examination, his pupils were equal in shape, round, and reactive to light. His mother commented that he developed unusual eye movements and that they had a "roving quality".[6]

Culture and society

Anton syndrome was featured in a two-part episode of the television series House M.D., titled "Euphoria", although it was ascribed to primary amoebic meningoencephalitis, a disease that usually does not cause the syndrome in real life. The syndrome features prominently in the Rupert Thomson novel The Insult. It is also mentioned in the science fiction novel Blindsight, by Peter Watts.

It is mentioned frequently as "Anton's Blindness" as one of the primary metaphors in Raj Patel's The Value of Nothing. In Lars von Trier's film Dogville, the character Jack McKay acts as if he can see but gives many signs he cannot.

The syndrome is also the main theme of the Malaysian movie Desolasi (Desolation), where the patients live in their own world of imagination, while unable to see the real world.It is also mentioned in Oliver Sacks's An Anthropologist on Mars.

See also

References

  1. Kim, Nina; Anbarasan, Deepti; Howard, Jonathan (April 2017). "Anton syndrome as a result of MS exacerbation". Neurology: Clinical Practice. 7 (2): e19–e22. doi:10.1212/CPJ.0000000000000273. PMC 5669417. PMID 29185543.
  2. Marková, Ivana S.; Berrios, German E. (1 December 2014). "The construction of anosognosia: History and implications". Cortex. 61: 9–17. doi:10.1016/j.cortex.2014.09.011. PMID 25481463. S2CID 46659573.
  3. Critchley, Macdonald (1979). "Modes of reaction to central blindness". The Divine Banquet of the Brain and Other Essays. Raven Press. p. 156. ISBN 978-0-89004-348-6.
  4. Prigatano, George P.; Schacter, Daniel L (1991). Awareness of deficit after brain injury: clinical and theoretical issues. Oxford [Oxfordshire]: Oxford University Press. pp. 53–60. ISBN 978-0-19-505941-0. Archived from the original on 2021-04-22. Retrieved 2021-10-13.
  5. 1 2 M Das, Joe; Naqvi, Imama A. (2021). "Anton Syndrome". StatPearls. StatPearls Publishing. Archived from the original on 7 October 2021. Retrieved 18 November 2021.
  6. Trifiletti, R. R.; Syed, E. H.; Hayes-Rosen, C.; Parano, E.; Pavone, P. (February 2007). "Anton-Babinski syndrome in a child with early-stage adrenoleukodystrophy". European Journal of Neurology. 14 (2): e11–e12. doi:10.1111/j.1468-1331.2006.01581.x. PMID 17250706. S2CID 26141348.
This article is issued from Wmcloud. The text is licensed under Creative Commons - Attribution - Sharealike. Additional terms may apply for the media files.