Diversion colitis

Diversion colitis
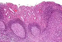
Micrograph showing colonic-type mucosa with follicular lymphoid hyperplasia, as is seen in diversion colitis. H&E stain.
SpecialtyGastroenterology
CausesSurgery with diversion of colon (ileostomy or colostomy)
TreatmentShort-chain fatty acid enemas
MedicationMesalazine

Diversion colitis is an inflammation of the colon which can occur as a complication of ileostomy or colostomy, where symptoms may occur between one month and three years following surgery.[1] It also occurs frequently in a neovagina created by colovaginoplasty, with varying delay after the original procedure.[2] Despite the presence of a variable degree of inflammation the most suggestive histological feature remains the prominent lymphoid aggregates.

Symptoms and signs

People may be asymptomatic but common symptoms are abdominal discomfort, anorectal pain, mucous discharge and rectal bleeding that develops from the inflamed mucosa of the distal, unused colon.[1]

Diagnosis

Diagnosis is aided by knowing the full clinical history.[3]

Treatment

In many milder cases after ileostomy or colostomy, diversion colitis is left untreated and disappears naturally. Possible pharmacologic treatments include short-chain fatty acid irrigation, steroid enemas and mesalazine.[4] For surgical candidates, reanastomosis is a reversal procedure carried out to restore bowel continuity that effectively halts the symptoms of diversion colitis.[1]

References

  1. 1 2 3 Tominaga K, Kamimura K, Takahashi K, Yokoyama J, Yamagiwa S, Terai S (April 2018). "Diversion colitis and pouchitis: A mini-review". World Journal of Gastroenterology. 24 (16): 1734–1747. doi:10.3748/wjg.v24.i16.1734. PMC 5922993. PMID 29713128.
  2. van der Sluis WB, Bouman MB, Meijerink WJ, Elfering L, Mullender MG, de Boer NH, van Bodegraven AA (March 2016). "Diversion neovaginitis after sigmoid vaginoplasty: endoscopic and clinical characteristics". Fertility and Sterility. 105 (3): 834–839.e1. doi:10.1016/j.fertnstert.2015.11.013. PMID 26632208.
  3. Haboubi, Haboubi (April 2000). "Reporting colonic mucosal biopsies in inflammatory conditions: a new approach". Colorectal Disease. 2 (2): 66–72. doi:10.1046/j.1463-1318.2000.00104.x. PMID 23577987. S2CID 40271111.
  4. Geraghty JM, Talbot IC (September 1991). "Diversion colitis: histological features in the colon and rectum after defunctioning colostomy". Gut. 32 (9): 1020–3. doi:10.1136/gut.32.9.1020. PMC 1379042. PMID 1916483.
This article is issued from Wmcloud. The text is licensed under Creative Commons - Attribution - Sharealike. Additional terms may apply for the media files.