Favre–Racouchot syndrome
| Favre–Racouchot syndrome | |
|---|---|
| Other names: Favre–Racouchot disease,[1] and Nodular cutaneous elastosis with cysts and comedones[1] | |
![]() | |
| Affected eyelids and upper cheeks with greyish discolouration. | |
Favre–Racouchot syndrome is a solar elastotic disorder consisting of multiple open comedones that occurs in skin damaged by sunlight, especially under and lateral of the eyes. The comedones are widened openings for hair follicles and sebaceous glands filled with material.[1]
Pathology
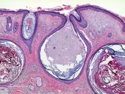
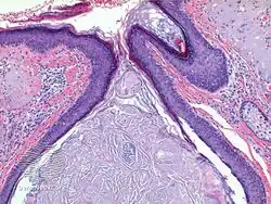
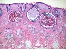
Chronic exposure to ultraviolet light can result in skin thickening as well as elastic destruction of the skin. At least in one instance, the occupational exposure to the UVA light of the sun (UVB is blocked by many car windows) resulted in skin destruction on one side of the face.[2] Microscopically, Favre–Racouchot displays multiple dilated follicular cysts/milia and open comedones with severe solar elastosis in the background dermis.
Favre–Racouchot syndrome-pathology
Favre–Racouchot syndrome-pathology
Favre–Racouchot syndrome-pathology
Favre–Racouchot syndrome-pathology
Treatment
Treatment includes sun protection, and cessation of smoking is highly recommended. Topical retinoids, Isotretinoin, curettage, and dermabrasion have also been used with some success.[3]
Eponym
Favre–Racouchot syndrome is named after the French dermatologist Maurice Favre and his pupil Jean Racouchot (1908-1994). It was described in 1932 by Favre and then reviewed in details by Favre and Racouchot in 1951.[4]
Additional images
Favre Racouchot syndrome
Favre Racouchot syndrome
Favre Racouchot syndrome
See also
References
- 1 2 3 Rapini, Ronald P.; Bolognia, Jean L.; Jorizzo, Joseph L. (2007). Dermatology: 2-Volume Set. St. Louis: Mosby. p. 1847. ISBN 978-1-4160-2999-1.
- ↑ Gordon, Jennifer R. S.; Brieva, Joaquin C. (2012). "Unilateral Dermatoheliosis". New England Journal of Medicine. Vol. 366, no. 16. pp. e25. doi:10.1056/NEJMicm1104059.
- ↑ "Favre-Racouchot Syndrome - American Osteopathic College of Dermatology (AOCD)". www.aocd.org. Archived from the original on 2019-09-01. Retrieved 2019-09-01.
- ↑ "Favre-Racouchot syndrome". Archived from the original on 2017-09-22. Retrieved 2021-05-27.
External links
| Classification | |
|---|---|
| External resources |
