Foster Kennedy syndrome

Foster Kennedy syndrome
Other names: Gowers–Paton–Kennedy syndrome, Kennedy's phenomenon, Kennedy's syndrome
Frontal lobe (on the right)

Foster Kennedy syndrome is a constellation of findings associated with tumors of the frontal lobe.[1]

Although Foster Kennedy syndrome is sometimes called "Kennedy syndrome",[2] it should not be confused with Kennedy disease, or spinal and bulbar muscular atrophy, which is named after William R. Kennedy.

Pseudo-Foster Kennedy syndrome is defined as one-sided optic atrophy with papilledema in the other eye but with the absence of a mass.[3]

Signs and symptoms

The syndrome is defined as the following changes:[4]

This syndrome is due to optic nerve compression, olfactory nerve compression, and increased intracranial pressure (ICP) secondary to a mass (such as meningioma or plasmacytoma, usually an olfactory groove meningioma),[5][6] therefore there are other symptoms present in some cases such as nausea and vomiting, memory loss and emotional lability (i.e., frontal lobe signs).[6]

Cause

In terms of the cause of this condition, it occurs due to compression of the ipsilateral optic nerve by a intracranial mass ( anterior cranial fossa meningioma)[4]

Diagnosis

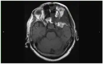
Large 4.4 cm × 4 cm × 3.4 cm mass in the left cavernous sinus extending into the left optic nerve and optic chiasm

Brain tumor can be visualized very well on CT scan, but MRI gives better detail and is the preferred study. Clinical localization of brain tumors may be possible by virtue of specific neurologic deficits or symptom patterns. Tumor at the base of the frontal lobe produces inappropriate behavior, optic nerve atrophy on the side of the tumor, papilledema on the other side, and anosmia.

Treatment

The treatment, and therefore prognosis, varies depending upon the underlying tumour.[6] While awaiting surgical removal, treat any increased intracranial pressure with high-dose steroids (i.e., dexamethasone).

History

The syndrome was first extensively noted by Robert Foster Kennedy in 1911, an Irish neurologist, who spent most of his career working in the United States of America.[7] However, the first mention of the syndrome came from a William Gowers in 1893. Schultz–Zehden described the symptoms again in 1905. A later description was written by Wilhelm Uhthoff in 1915.[8]

References

  1. "Kennedy syndrome" at Dorland's Medical Dictionary
  2. "Foster Kennedy syndrome" at Dorland's Medical Dictionary
  3. Bansal S, Dabbs T, Long V (2008). "Pseudo-Foster–Kennedy Syndrome due to unilateral optic nerve hypoplasia: a case report". J Med Case Rep. 2: 86. doi:10.1186/1752-1947-2-86. PMC 2278154. PMID 18348732.
  4. 1 2 "Foster-Kennedy vs Pseudo-Foster-Kennedy - EyeWiki". eyewiki.aao.org. Archived from the original on 4 November 2021. Retrieved 20 July 2022.
  5. Longmore, Murray; Ian Wilkinson; Tom Turmezei; Chee Kay Cheung (2007). Oxford Handbook of Clinical Medicine (7th ed.). Oxford University Press. p. 690. ISBN 978-0-19-856837-7.
  6. 1 2 3 Willacy, Hayley. "Foster Kennedy syndrome". Archived from the original on 2012-02-12. Retrieved 2008-08-13.
  7. Thorofare, NJ (1911). Kennedy F; Retrobulbar neuritis as an exact diagnostic sign of certain tumors and abscesses in the frontal lobe. American Journal of the Medical Sciences.
  8. "Kennedy's syndrome". Archived from the original on 2018-12-15. Retrieved 2008-08-13.
Classification
This article is issued from Wmcloud. The text is licensed under Creative Commons - Attribution - Sharealike. Additional terms may apply for the media files.