Freiberg disease
Freiberg disease | |
---|---|
Other names: Freiberg infraction | |
![]() | |
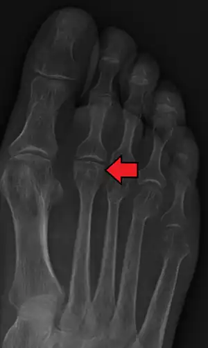
Freiberg disease as seen on plain film | |
![]() | |
Specialty | Orthopedics |
Freiberg disease, also known as a Freiberg infraction, is a form of avascular necrosis in the metatarsal bone of the foot. It generally develops in the second metatarsal, but can occur in any metatarsal. Physical stress causes multiple tiny fractures where the middle of the metatarsal meets the growth plate. These fractures impair blood flow to the end of the metatarsal resulting in the death of bone cells (osteonecrosis). It is an uncommon condition, occurring most often in young women, athletes, and those with abnormally long metatarsals. Approximately 80% of those diagnosed are women. [1]
Initial treatment is generally 4–6 weeks of limited activity, often with crutches or orthotics. In rare cases, surgery is necessary to reduce the bone mass of the metatarsal.
The condition was first described by Dr. Alfred H. Freiberg in 1914. He initially thought the condition was caused by acute physical trauma, which is why it was initially called an infraction.[1][2][3][4]

References
- 1 2 Fehr SC, Walter KD. "Freiberg Disease". Medscape. WebMD LLC. Archived from the original on 4 March 2014. Retrieved 1 March 2014.
- ↑ "Freiberg Infraction". Ann & Robert H. Lurie Children's Hospital of Chicago. Archived from the original on 10 September 2015. Retrieved 1 March 2014.
- ↑ Clifford R. Wheeless, III, MD. "Freiberg's Disease". Wheeless' Textbook of Orthopaedics. Duke Orthopaedics. Archived from the original on 2020-01-27. Retrieved 2020-04-14.
{{cite web}}
: CS1 maint: multiple names: authors list (link) - ↑ Smith T, Vito GR. "Freiberg's Infraction, Compression Fractures and Osteochondritis" (PDF). The Podiatry Institute. Archived (PDF) from the original on 10 August 2013. Retrieved 1 March 2014.
External links
Classification |
---|