Gliosarcoma

Gliosarcoma
Other names: Sarcomatous glioblastoma [1]
Micrograph showing a gliosarcoma. Elastic van Gieson's stain.
SpecialtyNeuro-oncology

Gliosarcoma is a rare type of glioma, a cancer of the brain that comes from glial, or supportive, brain cells, as opposed to the neural brain cells. Gliosarcoma is a malignant cancer, and is defined as a glioblastoma consisting of gliomatous and sarcomatous components.[2]

It is estimated that approximately 2.1% of all glioblastomas are gliosarcomas. Although most gliomas rarely show metastases outside the cerebrum, gliosarcomas have a propensity to do so, most commonly spreading through the blood to the lungs, and also liver and lymph nodes.[3]

Gliosarcomas have an epidemiology similar to that of glioblastomas, with the average age of onset being 54 years, and males being affected twice as often as females. They are most commonly present in the temporal lobe.

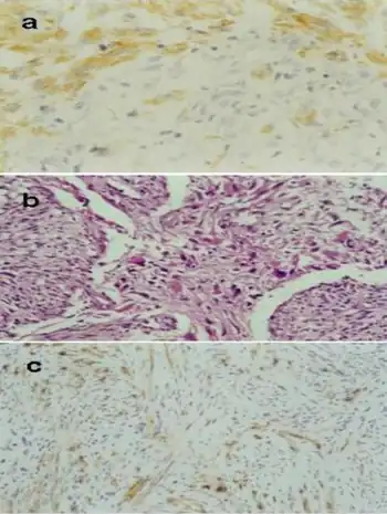
a) Gliomatous component GFAP positive b) biphasic tissue pattern with glial and mesenchymal differentiation c)sarcomatous component vimentine positive

References

  1. "Gliosarcoma | Genetic and Rare Diseases Information Center (GARD) – an NCATS Program". rarediseases.info.nih.gov. Archived from the original on 13 July 2019. Retrieved 13 July 2019.
  2. Ayadi L, Charfi S, Khabir A, Kalle R, Sellami A, Makni S, et al. (March 2010). "[Cerebral gliosarcoma: clinico-pathologic study of 8 cases]". La Tunisie Medicale (in français). 88 (3): 142–146. PMID 20415184.
  3. Beaumont TL, Kupsky WJ, Barger GR, Sloan AE (May 2007). "Gliosarcoma with multiple extracranial metastases: case report and review of the literature". Journal of Neuro-Oncology. 83 (1): 39–46. doi:10.1007/s11060-006-9295-x. PMID 17171442.
Classification
External resources

 This article incorporates public domain material from the U.S. National Cancer Institute document: "Dictionary of Cancer Terms".

This article is issued from Wmcloud. The text is licensed under Creative Commons - Attribution - Sharealike. Additional terms may apply for the media files.