IgG4-related skin disease
IgG4-related skin disease | |
---|---|
![]() | |
Specialty | Dermatology |
IgG4-related skin disease is the recommended name for skin manifestations in IgG4-related disease (IgG4-RD).[1] Multiple different skin manifestations have been described.
Classification
Although a clear understanding of the various skin lesions in IgG4-related disease is a work in progress, skin lesions have been classified into subtypes based on documented cases:[2]
- Angiolymphoid hyperplasia with eosinophilia (or lesions that mimic it)[3] and cutaneous pseudolymphoma
- Cutaneous plasmacytosis[Note 1]
- Eyelid swelling (as part of Mikulicz's disease)
- Psoriasis-like eruptions
- Unspecified maculopapular or erythematous eruptions
- Hypergammaglobulinemic purpura and urticarial vasculitis
- Impaired blood supply to fingers or toes, leading to Raynaud's phenomenon or gangrene
In addition, Wells syndrome has also been reported in a case of IgG4-related disease.[5]
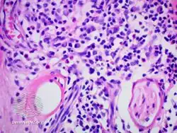
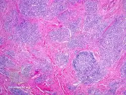
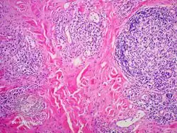
- IgG4-related skin disease pathology
- IgG4-related skin disease pathology
- IgG4-related skin disease pathology
- IgG4-related skin disease pathology
See also
Note
Note:
- ↑ Some do not consider cutaneous plasmacytosis to be a feature of IgG4-related disease for reasons that include: a lack of systemic features, no response to steroid therapy and a different histological pattern.[4]
References
- ↑ John H. Stone; Arezou Khosroshahi; Vikram Deshpande; John K. C. Chan; J. Godfrey Heathcote; Rob Aalberse; Atsushi Azumi; Donald B. Bloch; William R. Brugge; Mollie N. Carruthers; Wah Cheuk; Lynn Cornell; Carlos Fernandez-Del Castillo; Judith A. Ferry; David Forcione; Günter Klöppe; Daniel L. Hamilos; Terumi Kamisawa; Satomi Kasashima; Shigeyuki Kawa; Mitsuhiro Kawano; Yasufumi Masaki; Kenji Notohara; Kazuichi Okazaki; Ji Kon Ryu; Takako Saeki; Dushyant Sahani; Yasuharu Sato; Thomas Smyrk; James R. Stone; Masayuki Takahira; Hisanori Umehara; George Webster; Motohisa Yamamoto; Eunhee Yi; Tadashi Yoshino; Giuseppe Zamboni; Yoh Zen; Suresh Chari (October 2012). "Recommendations for the nomenclature of IgG4-related disease and its individual organ system manifestations". Arthritis & Rheumatism. 64 (10): 3061–3067. doi:10.1002/art.34593. PMC 5963880. PMID 22736240.
- ↑ Yoshiki Tokura; Hiroaki Yagi; H. Yanaguchi; Yuta Majima; Akira Kasuya; Taisuke Ito; M Maekawa; Hideo Hashizume (November 2014). "IgG4-related skin disease". British Journal of Dermatology. 171 (5): 959–967. doi:10.1111/bjd.13296. PMID 25065694.
- ↑ Yasuhito Hamaguchi; Manabu Fujimoto; Yukiyo Matsushita; Seiko Kitamura-Sawada; Mitsuhiro Kawano; Kazuhiko Takehara (2011). "IgG4-related skin disease, a mimic of angiolymphoid hyperplasia with eosinophilia". Dermatology. 223 (4): 301–305. doi:10.1159/000335372. PMID 22269779. Archived from the original on 2018-06-10. Retrieved 2021-03-24.
- ↑ Angel Fernandez-Flores (2012). "The role of IgG4 in cutaneous pathology" (PDF). Romanian Journal of Morphology and Embryology. 53 (2): 221–231. PMID 22732790. Archived (PDF) from the original on 2016-03-04. Retrieved 2021-03-24.
- ↑ Takashi Karashima; Yoshinori Taniguchi; Tsutomu Shimamoto; Tomoya Nao; Hiroshi Nishikawa; Satoshi Fukata; Masayuki Kamada; Keiji Inoue; Kentaro Oko; Hideki Nakajima; Shigetoshi Sano; Manabu Matsumoto; Naoto Kuroda; Yoshihiro Kamei; Taro Shuin (9 December 2014). "IgG4-related disease of the paratestis in a patient with Wells syndrome: a case report". Diagnostic Pathology. 9: 225. doi:10.1186/s13000-014-0225-5. PMC 4265405. PMID 25487870. Archived from the original on 13 January 2016. Retrieved 24 March 2021.
This article is issued from Wmcloud. The text is licensed under Creative Commons - Attribution - Sharealike. Additional terms may apply for the media files.