Jamestown Canyon encephalitis
| Jamestown Canyon encephalitis | |
|---|---|
| Specialty | Infectious disease |
Jamestown Canyon encephalitis is an infectious disease caused by the Jamestown Canyon virus, an orthobunyavirus of the California serogroup. It is mainly spread during the summer by different mosquito species in the United States and Canada.
The virus is one of a group of mosquito-borne or arthropod-borne viruses, also called arboviruses, that can cause fever and meningitis or meningoencephalitis, mostly in adults. Jamestown Canyon virus disease is relatively rare; in the United States, the CDC found only 31 disease cases from 2000 to 2013, but it is likely under-recognized and probably endemic throughout most of the United States and parts of Canada.
Signs and symptoms
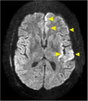
About 2 days to 2 weeks after the bite of an infected mosquito, disease symptoms of a nonspecific summertime illness with sore throat, runny nose and cough, followed by fever, headache, nausea and vomiting can develop. Many cases are asymptomatic, although the ratio of symptomatic to asymptomatic cases is unknown.[1] Neuroinvasive disease occurs in two thirds of reported cases and is characterized by severe headache and neck stiffness as in meningitis or increasing lethargy and altered mental status up to coma as in meningoencephalitis. Roughly half of reported cases are hospitalized, but deaths from the virus are rare.[1] No acquisition from a blood transfusion has been reported.[2]
Virology
Lua error: expandTemplate: template "Template:Create taxonomy" does not exist.
| Jamestown Canyon orthobunyavirus | |
|---|---|
| Virus classification e | |
| Species: | Jamestown Canyon orthobunyavirus |
The Jamestown Canyon virus is an orthobunyavirus and was first isolated in 1961 from Culiseta mosquitoes in Jamestown, Colorado. Since then it has been found in Aedes, Coquillettidia perturbans, Culex, Culiseta and Ochlerotatus species in northern states of the mainland US, in various mammals throughout mainland North America, and identified in humans throughout the United States.[3][4]
Lifecycle
The virus is transmitted in saliva to a vertebrate host when an infected mosquito takes a blood meal. It thus cycles between mosquito and vertebrate amplifier hosts, mainly white-tailed deer. In a study from Newfoundland, JCV was significantly associated with large mammals such as sheep, cattle and horses. In Michigan and Ontario moose and bison are believed to be the primary reservoir.[5]
The virus winters in mosquito eggs, which it reaches by transovarial transmission. The female mosquito lays eggs that carry the virus, and the offspring can transmit the virus to deer or ruminants and humans. Infected mosquitoes were found equally distributed throughout the state of Connecticut, irrespective of land use.[6]
Molecular biology
The full genome has been sequenced. The authors found a relatively high level of amino acid sequence conservation from viruses isolated 57 years apart "indicating that the virus is in relative evolutionary stasis". They also found JCV to be genetically similar to Ingå virus in Northern Europe (Finland, Sweden), "suggesting that much of the northern hemisphere contains JCV or similar variants".[7] The negative sense RNA genome is in three segments. The L segment encodes the L endonuclease (an RNA-dependent RNA polymerase enzyme) for genome replication and mRNA synthesis. The M segment encodes a polyprotein, further cleaved in the Gn and Gc surface glycoproteins for attachment and the NSm nonstructural protein that influences virulence. The S segment encodes the NSs protein for immune suppression and virulence, and the N structural nucleocapsid protein.[8]
Diagnosis

The Centers for Disease Control and Prevention considers a person with JCV infection laboratory-confirmed if: JCV isolated from or JCV-specific antigen or genomic sequences detected in tissue, blood, cerebrospinal fluid, or other body fluids; 2) equal or more than 4-fold change in JCV-specific neutralizing antibody titers between acute and convalescent samples; or 3) JCV or LACV IgM antibodies in serum with JCV-specific neutralizing antibodies equal or more than 4-fold higher than LACV-specific neutralizing antibody titers in the same specimen or a later specimen.[3]
JCV-antibody testing has only been available at the CDC and the New York State Department of Health. The CDC has used plaque reduction neutralization tests to detect JCV neutralizing antibodies since 1995. The test is automatically done on all samples testing positive or equivocal for La Crosse Virus IgM antibodies by ELISA. In 2010 CDC developed an ELISA also for JCV IgM . Similarly, the New York State Department of Health has performed JCV plaque reduction neutralization tests since 2000 on samples positive for California serogroup IgG antibodies. It does the latter by an immunofluorescence assay.[3] Prior to the 1990s, the only tests for California serogroup virus infections performed by most state diagnostic laboratories were complement-fixation test and hemagglutination inhibition tests with La Crosse virus, but these failed to detect antibody to Jamestown Canyon virus.[9]
Differential diagnosis
Besides La Crosse virus, other arboviruses producing similar disease in a similar geographic location include first and foremost West Nile virus, Powassan virus, Eastern equine encephalitis virus, Saint Louis encephalitis and Western equine encephalitis virus, the latter two not being reportable to CDC. For 2013, CDC reported that of 22 JCV disease cases, 15 (68%) were neuroinvasive, which is a slightly higher percentage than for West Nile virus (51%), but less common than for the other arboviruses, with La Crosse virus being 91%, Eastern equine encephalitis virus 100% and Powassan virus 80% neuroinvasive. [2]
Prevention
The NIAID reported in 2012, that it had constructed a candidate virus for a live attenuated virus vaccine.[10]
Treatment
No specific therapy exists for arboviral infections; treatment is limited to supportive care and managing complications, such as relieving increased intracranial pressure. Preventing and decreasing the morbidity from JCV disease depends on control of the mosquito vectors and personal protection to reduce mosquito bites.[2]
Epidemiology
Since 2004, the disease must be reported to CDC (passive surveillance, ArboNET).[3] JCV has been mostly reported in adults rather than in children (median age 48 years versus 8 years), and is more likely to cause meningitis than encephalitis compared to illness caused by La Crosse virus.[3] It also occurs throughout the summer (May until September),[3] or even throughout the year[2] rather than mostly in August, which may be due to the diversity of mosquitoes it can infect.[5]
- Increasing awareness and more testing
In the latest US review covering 2000–2013, more than half of cases were identified in 2013 alone, the first year the CDC implemented routine JCV IgM antibody testing.[3]
- Geography
Historically, most cases of encephalitis reported to the CDC occurred in the north of the mainland United States. JCV disease most likely has a broader distribution, but is unidentified and under-reported, because testing is not considered and not straightforward.[3] In 2013, of 10 states reporting cases, eight states reported their first JCV cases: Georgia, Idaho, Massachusetts, Minnesota, New Hampshire, Oregon, Pennsylvania, and Rhode Island.[2] In August 2015, the Iowa Department of Public Health confirmed one case of JCV.[11] In July 2017, the Maine Center for Disease Control announced what is believed to be Maine's first known case.[12]
- Season
Historically disease was reported to occur from late spring through early fall.[3] However, for 2013, dates of illness onset ranged from January through November, with 14 (64%) of the 22 cases occurring during July until September.[2]
References
- 1 2 "Jamestown Canyon virus - Information for Healthcare Providers". CDC. Archived from the original on 4 December 2021. Retrieved 7 August 2021.
- 1 2 3 4 5 6 Lindsey NP, Lehman JA, Staples JE, Fischer M (20 June 2014). Division of Vector-Borne Diseases, National Center for Emerging and Zoonotic Infectious Diseases, CDC. "West nile virus and other arboviral diseases – United States, 2013". Morbidity and Mortality Weekly Report. 63 (24): 521–526. PMC 5779373. PMID 24941331.
- 1 2 3 4 5 6 7 8 9 Pastula DM, Hoang Johnson DK, White JL, Dupuis AP 2nd, Fischer M, Staples JE (5 August 2015). "Jamestown Canyon Virus Disease in the United States—2000–2013". Am J Trop Med Hyg. 93 (2): 384–9. doi:10.4269/ajtmh.15-0196. PMC 4530766. PMID 26033022.
- ↑ Kinsella CM, Paras ML, Smole S, Mehta S, Ganesh V, Chen LH, McQuillen DP, Shah R, Chan J, Osborne M, Hennigan S, Halpern-Smith F, Brown CM, Sabeti P, Piantadosi A (December 2020). "Jamestown Canyon virus in Massachusetts: clinical case series and vector screening". Emerg Microbes Infect. 9 (1): 903–912. doi:10.1080/22221751.2020.1756697. PMC 7273174. PMID 32302268.
- 1 2 Goff G, Whitney H, Drebot MA (2012). "Roles of host species, geographic separation, and isolation in the seroprevalence of Jamestown Canyon and snowshoe hare viruses in Newfoundland". Appl. Environ. Microbiol. 78 (18): 6734–40. doi:10.1128/AEM.01351-12. PMC 3426688. PMID 22798366.
- ↑ Andreadis TG, Anderson JF, Armstrong PM, Main AJ (2008). "Isolations of Jamestown Canyon virus (Bunyaviridae: Orthobunyavirus) from field-collected mosquitoes (Diptera: Culicidae) in Connecticut, USA: a ten-year analysis, 1997–2006". Vector Borne Zoonotic Dis. 8 (2): 175–88. doi:10.1089/vbz.2007.0169. PMID 18386967.
- ↑ Bennett RS, Nelson JT, Gresko AK, Murphy BR, Whitehead SS (2011). "The full genome sequence of three strains of Jamestown Canyon virus and their pathogenesis in mice or monkeys". Virol. J. 8: 136. doi:10.1186/1743-422X-8-136. PMC 3076256. PMID 21435230.
- ↑ Liu D, Austin FW. "California Group Seroviruses". In Liu D (ed.). Molecular Detection of Human Viral Pathogens. CRC Press, Boca Raton, FL. pp. 609–610.
- ↑ Grimstad PR, Calisher CH, Harroff RN, Wentworth BB (1986). "Jamestown Canyon virus (California serogroup) is the etiologic agent of widespread infection in Michigan humans". The American Journal of Tropical Medicine and Hygiene. 35 (2): 376–386. doi:10.4269/ajtmh.1986.35.376. PMID 3953951.
- ↑ Bennett RS, Gresko AK, Nelson JT, Murphy BR, Whitehead SS (2012). "A recombinant chimeric La Crosse virus expressing the surface glycoproteins of Jamestown Canyon virus is immunogenic and protective against challenge with either parental virus in mice or monkeys". J. Virol. 86 (1): 420–6. doi:10.1128/JVI.02327-10. PMC 3255902. PMID 22013033.
- ↑ "Late Summer Mosquitoes Still Carry West Nile Threat". IDPH News. Iowa Department of Public Health. 27 August 2015. Archived from the original on 5 September 2015. Retrieved 1 September 2015.
- ↑ St. Amour, Madeline (13 July 2017). "Maine CDC: Rare mosquito virus reported in Kennebec County". CentralMaine.com. Archived from the original on 14 July 2017. Retrieved 15 July 2017.
Further reading
- "Jamestown Canyon Virus Fact Sheet". Minnesota Department of Health. February 2014. Archived from the original on 30 August 2015. Retrieved 1 September 2015.
External links
- The Encephalitis Society Archived 23 March 2021 at the Wayback Machine A comprehensive resource on Encephalitis and providing support and information to those affected and their families