Lung tumor

Lung tumor
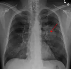
A chest X-ray showing a tumor in the lung (marked by arrow)
SpecialtyOncology Pulmonology[1]
SymptomsCoughing (including coughing up blood), weight loss, shortness of breath, chest pains[2]
ComplicationsLung cancer
CausesSmoking Radon gas Asbestos Air pollution Genetics

A lung tumor is an uncontrolled growth of cells in the lung, including lung cancer and lung nodules.[3] These include:

Primary tumors of the lung/pulmonary system:

Non-lung tumors which may grow into the lungs:

Metastasis or secondary tumors/neoplasms with other origin:

References

  1. Board, WHO Classification of Tumours Editorial (2021). "1. Tumours of the lung". Thoracic Tumours (5th ed.). World Health Organization. pp. 19–191. ISBN 978-92-832-4506-3. Archived from the original on 2022-05-14. Retrieved 2022-07-18.
  2. Horn L, Lovly CM (2018). "Chapter 74: Neoplasms of the lung". In Jameson JL, Fauci AS, Kasper DL, Hauser SL, Longo DL, Loscalzo J (eds.). Harrison's Principles of Internal Medicine (20th ed.). McGraw-Hill. ISBN 978-1259644030.
  3. White, Veronica; Ruperelia, Prina (2020). "28.Respiratory disease". In Feather, Adam; Randall, David; Waterhouse, Mona (eds.). Kumar and Clark's Clinical Medicine (10th ed.). Elsevier. pp. 975–982. ISBN 978-0-7020-7870-5. Archived from the original on 2022-01-19. Retrieved 2022-01-20.
  4. Chong S, Lee KS, Chung MJ, Han J, Kwon OJ, Kim TS (2006). "Neuroendocrine tumors of the lung: clinical, pathologic, and imaging findings". Radiographics. 26 (1): 41–58. doi:10.1148/rg.261055057. PMID 16418242.
  5. 1 2 Giménez A, Franquet T, Prats R, Estrada P, Villalba J, Bagué S (2002). "Unusual primary lung tumors: a radiologic-pathologic overview". Radiographics. 22 (3): 601–19. doi:10.1148/radiographics.22.3.g02ma25601. PMID 12006690. Archived from the original on 2014-10-07. Retrieved 2014-07-25.
  6. Gladish GW, Sabloff BM, Munden RF, Truong MT, Erasmus JJ, Chasen MH (2002). "Primary thoracic sarcomas". Radiographics. 22 (3): 621–37. doi:10.1148/radiographics.22.3.g02ma17621. PMID 12006691. Archived from the original on 2016-10-14. Retrieved 2014-07-25.
This article is issued from Wmcloud. The text is licensed under Creative Commons - Attribution - Sharealike. Additional terms may apply for the media files.