Primary pulmonary coccidioidomycosis
| Primary pulmonary coccidioidomycosis | |
|---|---|
![]() | |
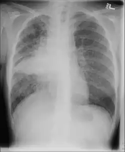
| Image demonstrates widespread pulmonary disease with associated lymphadenopathy consistent with pulmonary coccidoidomycosis | |
| Specialty | Infectious disease |
Primary pulmonary coccidioidomycosis is an infection caused by inhalation of Coccidioides immitis.[1]: 314 Once pulmonary symptoms subside, about 30% of women and 15% of men will have allergic skin manifestations in the form of erythema nodosum.[1]: 314 A coccidioidoma is a benign localized residual granulomatous lesion or scar that can remain in the lung's tissues following primary pulmonary coccidioidomycosis.[2]
See also
References
- 1 2 James, William D.; Berger, Timothy G.; et al. (2006). Andrews' Diseases of the Skin: clinical Dermatology. Saunders Elsevier. ISBN 978-0-7216-2921-6.
- ↑ "Coccidioidoma". Dictionary.com. Archived from the original on 8 April 2010. Retrieved 6 January 2010.
This article is issued from Wmcloud. The text is licensed under Creative Commons - Attribution - Sharealike. Additional terms may apply for the media files.
.png.webp)