Squamous-cell carcinoma of the thyroid
| Squamous-cell carcinoma of the thyroid | |
|---|---|
| Other names | Thyroid squamous-cell carcinoma, squamous-cell thyroid carcinoma |
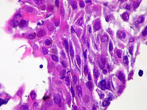
![]() | |
| Micrograph of squamous-cell carcinoma (H&E stain) | |
| Specialty | Oncology |
Squamous-cell carcinoma of the thyroid (SCT), or thyroid squamous-cell carcinoma, is rare malignant neoplasm of thyroid gland which shows tumor cells with distinct squamous differentiation. The incidence of SCT is less than 1% out of thyroid malignancies.[1]
Pathophysiology
Squamous epithelial cells are not found in a normal thyroid, so the origin of SCT is not clear. However, it might be derived from embryonic remnants such as thyroglossal ducts or branchial clefts. Often, SCT is diagnosed in one of the thyroid lobes but not in the pyramidal lobe. Another possible way of developing SCT is through the squamous metaplasia of cells. However, that theory is also controversial since Hashimoto's thyroiditis and chronic lymphocytic thyroiditis (neoplasms to be shown squamous metaplasia) are not associated with SCT. Primary STC is usually diagnosed in both lobes of the thyroid gland. The histopathology of STC shows a squamous differentiation of tumor cells.
Diagnosis
Squamous-cell carcinoma of the thyroid is biologically aggressive malignant neoplasm which is associated with rapid growth of neck mass followed by infiltration of thyroid-adjacent structures. Patients usually demonstrate dysphagia, dyspnea and voice changes, as well as local pain in the neck.
Fine-needle aspiration cytology
Ultrasound-guided fine-needle aspiration should be performed for verification of SCT.
Radiological examination
There are no specific radiological tests for SCT verification. However these tests might be useful for identification of tumor borders and in planning of surgery.
Markers
Immunohistochemistry is performed as additional test. The strong positive expression of cytokeratin 19 was shown in primary SCT, and negative in metastatic SCT.
Treatment
Thyroidectomy and neck dissection show good results in early stages of SCT. However, due to highly aggressive phenotype, surgical treatment is not always possible. The SCT is a radioiodine-refractory tumor. Radiotherapy might be effective in certain cases, resulting in relatively better survival rate and quality of life. Vincristine, doxorubicin and bleomycin are used for adjuvant chemotherapy, but their effects are not good enough according to publications.
Prognosis
Squamous-cell carcinoma of the thyroid exhibits a highly aggressive phenotype, thus prognosis of that malignancy is extremely poor. The overall survival is less than 1 year in most of cases.[2]
References
- ↑ MI Syed; M Stewart; S Syed; S Dahill; C Adams; DR Mclellan; LJ Clark (2011). "Squamous cell carcinoma of the thyroid gland: primary or secondary disease?". The Journal of Laryngology & Otology. 125 (1): 3–9. doi:10.1017/S0022215110002070. PMID 20950510. S2CID 28225556.
- ↑ Booya F, Sebo TJ, Kasperbauer JL, Fatourechi V (2006). "Primary squamous cell carcinoma of the thyroid: report of ten cases". Thyroid. 16 (1): 89–93. doi:10.1089/thy.2006.16.89. PMID 16487020.
