Thecoma
| Thecoma | |
|---|---|
![]() | |
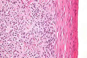
| High magnification micrograph of a thecoma. H&E stain. | |
| Specialty | Gynaecology |
| Frequency | Uncommon[1] |
Thecoma is a noncancerous ovarian tumor.[1]
It is composed cells resembling theca cells.[1] It is a type of sex cord-stromal tumour.[1]
They are typically estrogen-producing and they occur in older women (mean age 59; 84% after menopause). (They can, however, appear before menopause.[2])
60% of cases present with abnormal uterine bleeding, and 20% have endometrial carcinoma.
Pathologic features

Low magnification micrograph of a thecoma showing compression of the ovarian cortex (right of image). H&E stain.
Grossly, the tumour is solid and yellow.
Grossly and microscopically, it consists of the ovarian cortex.
Microscopically, the tumour cells have abundant lipid-filled cytoplasm.
References
- 1 2 3 4 WHO Classification of Tumours Editorial Board, ed. (2020). "1. Tumours of the ovary". Female genital tumours: WHO Classification of Tumours. Vol. 4 (5th ed.). Lyon (France): International Agency for Research on Cancer. p. 94. ISBN 978-92-832-4504-9. Archived from the original on 2022-06-17. Retrieved 2023-07-03.
- ↑ Okada I, Nakagawa S, Takemura Y, et al. (October 2004). "Ovarian thecoma associated in the first trimester of pregnancy". J. Obstet. Gynaecol. Res. 30 (5): 368–71. doi:10.1111/j.1447-0756.2004.00212.x. PMID 15327450. S2CID 28580115.
External links
| Classification |
|---|
This article is issued from Wmcloud. The text is licensed under Creative Commons - Attribution - Sharealike. Additional terms may apply for the media files.
