Treponema carateum
Treponema carateum | |
---|---|
Scientific classification ![]() | |
Domain: | Bacteria |
Phylum: | Spirochaetota |
Class: | Spirochaetia |
Order: | Spirochaetales |
Family: | Treponemataceae |
Genus: | Treponema |
Species: | T. carateum |
Binomial name | |
Treponema carateum | |
Treponema carateum is a species of spirochete bacteria in the genus Treponema.
It is the cause of pinta, a disease affecting exclusively the skin.[1] Children living in tropical American countries are most at risk.

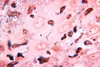
Photomicrograph of a Krajain’s stained chimpanzee tissue sample, revealed the presence of numbers of spiral shaped, Treponema carateum bacteria
References
- ↑ Antal GM, Lukehart SA, Meheus AZ (January 2002). "The endemic treponematoses". Microbes Infect. 4 (1): 83–94. doi:10.1016/S1286-4579(01)01513-1. PMID 11825779.
This article is issued from Wmcloud. The text is licensed under Creative Commons - Attribution - Sharealike. Additional terms may apply for the media files.