WHIM syndrome

WHIM syndrome
WHIM syndrome has an autosomal dominant pattern of inheritance.
SpecialtyImmunology
Symptomslow red blood cells a higher risk of infections

WHIM Syndrome (or Warts, Hypogammaglobulinemia, Immunodeficiency, and Myelokathexis syndrome) is a rare congenital immunodeficiency disorder characterized by chronic noncyclic neutropenia.

Signs and symptoms

The clinical presentation of this condition, WHIM syndrome is as follows:[1]

  • Bone marrow hypercellularity
  • Lymphopenia
  • Neutropenia
  • Limb ataxia
  • Speech disorder
  • Otitis media
  • Pharyngitis

Pathophysiology

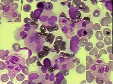
Morphological abnormalities of mature neutrophils on Leishman stained bone marrow aspirate film. Neutrophils show cytoplasmic vacuolization, nuclear hypersegmentation and nuclear lobes separated by long strands of chromatin

WHIM syndrome results from autosomal dominant mutations in the gene for the chemokine receptor, CXCR4,[2][3] resulting in a carboxy-terminus truncation of the receptor of between ten and 19 residues. The gene mutant is located on 2q21. The truncation of the receptor protein results in the inability of downregulation after stimulation. Thus, the receptor remain in an activated state.[4] WHIM syndrome is one of only a few diseases directly and primarily caused by an aberrant chemokine, making its molecular biology important in understanding the role of cell signaling and trafficking.

An association with GRK3 has also been observed.[5]

Diagnosis

Patients exhibit increased susceptibility to bacterial and viral infections, especially from common serotype human papilloma virus, resulting in warts on the hands and feet starting in childhood. Myelokathexis refers to retention (kathexis) of neutrophils in the bone marrow (myelo). In addition, lymphocytes and IgG antibody levels (gammaglobulins) are often deficient.

Treatment

Infusions of immune globulin can reduce the frequency of bacterial infections, and G-CSF or GM-CSF therapy improves blood neutrophil counts.[6]

As WHIM syndrome is a molecular disease arising from gain-of-function mutations in CXCR4, preclinical studies identified plerixafor, a specific CXCR4 antagonist, as a potential mechanism-based therapeutic for the disease.[7] Two subsequent clinical trials involving a handful of patients with WHIM syndrome demonstrated that plerixafor could increase white blood cell counts and continues to be a promising targeted therapy.[8][9]

A woman with spontaneous remission of her WHIM syndrome due to chromothripsis in one of her blood stem cells has been identified. [10][11]

In support of these studies, a 2014 phase I clinical trial treated 3 patients diagnosed with WHIM syndrome with plerixafor twice a day for 6 months. All three patients presented with multiple reoccurring infections before treatment and all had an increase in their white blood cell count post treatment. One patient (P3) had a decrease in his infections by 40% while the remaining 2 patients (P1 and P2) had no infections throughout the entirety of the treatment. Plerixafor may also prove to have anti-human papillomavirus (HPV) properties as all patients experienced a shrinkage or complete disappearance of their warts. While this treatment shows promise in treating neutropenia (decreased white blood cells), this trial showed no increase of immune globulins in the body.[12] A phase III clinical trial has been approved to compare the infection prevention ability of plerixafor versus the current treatment of G-CSF in patients with WHIM.[13]

References

  1. "WHIM syndrome | Genetic and Rare Diseases Information Center (GARD) – an NCATS Program". rarediseases.info.nih.gov. Archived from the original on 10 June 2021. Retrieved 6 October 2021.
  2. Hernandez PA, Gorlin RJ, Lukens JN, et al. (May 2003). "Mutations in the chemokine receptor gene CXCR4 are associated with WHIM syndrome, a combined immunodeficiency disease". Nat. Genet. 34 (1): 70–4. doi:10.1038/ng1149. PMID 12692554. S2CID 25010857.
  3. Kawai T, Choi U, Cardwell L, et al. (January 2007). "WHIM syndrome myelokathexis reproduced in the NOD/SCID mouse xenotransplant model engrafted with healthy human stem cells transduced with C-terminus-truncated CXCR4". Blood. 109 (1): 78–84. doi:10.1182/blood-2006-05-025296. PMC 1785067. PMID 16946301.
  4. Lagane B, Chow KY, Balabanian K, et al. (July 2008). "CXCR4 dimerization and beta-arrestin-mediated signaling account for the enhanced chemotaxis to CXCL12 in WHIM syndrome" (PDF). Blood. 112 (1): 34–44. doi:10.1182/blood-2007-07-102103. PMID 18436740. Archived (PDF) from the original on 2020-05-07. Retrieved 2021-09-27.
  5. Balabanian K, Levoye A, Klemm L, et al. (March 2008). "Leukocyte analysis from WHIM syndrome patients reveals a pivotal role for GRK3 in CXCR4 signaling". J. Clin. Invest. 118 (3): 1074–84. doi:10.1172/JCI33187. PMC 2242619. PMID 18274673.
  6. Wetzler M, Talpaz M, Kleinerman ES, et al. (1990). "A new familial immunodeficiency disorder characterized by severe neutropenia, a defective marrow release mechanism, and hypogammaglobulinemia". Am. J. Med. 89 (5): 663–72. doi:10.1016/0002-9343(90)90187-i. PMID 2239986.
  7. McDermott DH, Lopez J, Deng F, et al. (2011). "AMD3100 is a potent antagonist at CXCR4(R334X), a hyperfunctional mutant chemokine receptor and cause of WHIM syndrome". J. Cell. Mol. Med. 15 (10): 2071–81. doi:10.1111/j.1582-4934.2010.01210.x. PMC 3071896. PMID 21070597.
  8. McDermott DH, et al. (2011). "The CXCR4 antagonist plerixafor corrects panleukopenia in patients with WHIM syndrome". Blood. 118 (18): 4957–62. doi:10.1182/blood-2011-07-368084. PMC 3208300. PMID 21890643.
  9. Dale DC, et al. (Nov 2011). "The CXCR4 antagonist plerixafor is a potential therapy for myelokathexis, WHIM syndrome". Blood. 118 (18): 4963–6. doi:10.1182/blood-2011-06-360586. PMC 3673761. PMID 21835955.
  10. Kaiser, Jocelyn (5 February 2015). "Shattered chromosome cures woman of immune disease". Science. Archived from the original on 4 July 2015. Retrieved 27 September 2021.
  11. David H. McDermott; Ji-Liang Gao; Qian Liu; Marie Siwicki; Craig Martens; Paejonette Jacobs; Daniel Velez; Erin Yim; Christine R. Bryke; Nancy Hsu; Zunyan Dai; Martha M. Marquesen; Elina Stregevsky; Nana Kwatemaa; Narda Theobald; Debra A. Long Priel; Stefania Pittaluga; Mark A. Raffeld; Katherine R. Calvo; Irina Maric; Ronan Desmond; Kevin L. Holmes; Douglas B. Kuhns; Karl Balabanian; Françoise Bachelerie; Stephen F. Porcella; Harry L. Malech; Philip M. Murphy (5 February 2015). "Chromothriptic Cure of WHIM Syndrome". Cell. 160 (4): 686–699. doi:10.1016/j.cell.2015.01.014. ISSN 0092-8674. PMC 4329071. PMID 25662009.
  12. McDermott, David H.; Liu, Qian; Velez, Daniel; Lopez, Lizbeeth; Anaya-O’Brien, Sandra; Ulrick, Jean; Kwatemaa, Nana; Starling, Judy; Fleisher, Thomas A. (2014-04-10). "A phase 1 clinical trial of long-term, low-dose treatment of WHIM syndrome with the CXCR4 antagonist plerixafor". Blood. 123 (15): 2308–2316. doi:10.1182/blood-2013-09-527226. ISSN 0006-4971. PMC 3983611. PMID 24523241.
  13. "Plerixafor Versus G-CSF in the Treatment of People With WHIM Syndrome - Full Text View - ClinicalTrials.gov". clinicaltrials.gov. Archived from the original on 2017-02-26. Retrieved 2017-02-25.
Classification
This article is issued from Wmcloud. The text is licensed under Creative Commons - Attribution - Sharealike. Additional terms may apply for the media files.