Angiolipoma
Large mediastinal angiolipoma
SpecialtyOncology Edit this on Wikidata

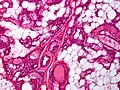
Angiolipoma is a subcutaneous nodule with vascular structure, having all other features of a typical lipoma. They are commonly painful.[1]:624[2]

Pathology

Histopathology

Diagnosis

Differential diagnosis

See also

References

  1. James, William; Berger, Timothy; Elston, Dirk (2005). Andrews' Diseases of the Skin: Clinical Dermatology. (10th ed.). Saunders. ISBN 0-7216-2921-0.
  2. Rapini, Ronald P.; Bolognia, Jean L.; Jorizzo, Joseph L. (2007). Dermatology: 2-Volume Set. St. Louis: Mosby. p. 1838. ISBN 978-1-4160-2999-1.
  3. Vijay Shankar. "Soft tissue - Adipose tissue tumors - Lipoma and variants - Angiolipoma". Pathology Outlines. Topic Completed: 1 August 2012. Minor changes: 20 March 2019


This article is issued from Wikipedia. The text is licensed under Creative Commons - Attribution - Sharealike. Additional terms may apply for the media files.