Desquamative interstitial pneumonia
SpecialtyPulmonology Edit this on Wikidata

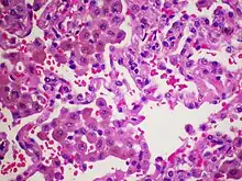
Desquamative interstitial pneumonia (DIP) is a form of idiopathic interstitial pneumonia featuring elevated numbers of macrophages within the alveoli (air sacs) of the lung. The alveolar macrophages have a characteristic light brown pigmentation and accumulate in the alveolar lumen and septa regions of the lower lobes of the lungs.[1] The typical effects of the macrophage accumulation are inflammation and later fibrosis (thickening and stiffness) of the lung tissue.[2]

The term DIP is a misnomer.[3] Its name is derived from the former belief that these macrophages were pneumocytes that had desquamated.[4] It has been suggested that a more accurate term for cases of DIP that occur in smokers and feature "ropey" alveolar septal collagen is Smoking-related interstitial fibrosis (SRIF).

It is associated with patients with a history of smoking.[5] Since more than 80% of cases occur in smokers, it has been suggested that the term DIP should be discarded and the subset occurring in smokers should be replaced with more accurate terms such as smoking-related interstitial fibrosis (SRIF).[3] Although smoking is the most common cause, studies have shown a relationship between occupational exposures and the development of DIP, including occupational dust, fire-extinguisher powder, diesel fumes, nylon filaments and beryllium and copper dust.[6] Additionally, DIP has been observed in children where it typically presents as a result of surfactant protein gene mutations, indicating that the disease is not always acquired in adulthood.[7]

Smoking cessation and avoidance of secondhand smoke exposure are both crucial to preventing disease progression, however, treatment with corticosteroids and immunosuppressive therapy has been reported to be effective pharmacologic intervention.[8] Treatment with methylprednisolone has been reported.[9]

References

  1. Diken, Özlem Erçen; Şengül, Aysun; Beyan, Ayşe Coşkun; Ayten, Ömer; Mutlu, Levent Cem; Okutan, Oğuzhan (2019). "Desquamative interstitial pneumonia: Risk factors, laboratory and bronchoalveolar lavage findings, radiological and histopathological examination, clinical features, treatment and prognosis". Experimental and Therapeutic Medicine. 17 (1): 587–595. doi:10.3892/etm.2018.7030. ISSN 1792-0981. PMC 6307411. PMID 30651839.
  2. Chakraborty, Rebanta K.; Basit, Hajira; Sharma, Sandeep (2020), "Desquamative Interstitial Pneumonia", StatPearls, Treasure Island (FL): StatPearls Publishing, PMID 30252335, retrieved 2020-12-02
  3. 1 2 Mukhopadhyay S, Aesif SW, Sansano I (2020). "5 simple reasons to discard DIP, or why we should stop calling dolphins big fish". J Clin Pathol. 73 (11): 762–768. doi:10.1136/jclinpath-2020-206669. PMID 32843423. S2CID 221327981.
  4. Cotran, Ramzi S.; Kumar, Vinay; Fausto, Nelson; Nelso Fausto; Robbins, Stanley L.; Abbas, Abul K. (2005). Robbins and Cotran pathologic basis of disease. St. Louis, Mo: Elsevier Saunders. p. 740. ISBN 0-7216-0187-1.
  5. Heyneman LE, Ward S, Lynch DA, Remy-Jardin M, Johkoh T, Müller NL (December 1999). "Respiratory bronchiolitis, respiratory bronchiolitis-associated interstitial lung disease, and desquamative interstitial pneumonia: different entities or part of the spectrum of the same disease process?". AJR Am J Roentgenol. 173 (6): 1617–22. doi:10.2214/ajr.173.6.10584810. PMID 10584810.
  6. Godbert, Benoît; Wissler, Marie-Pierre; Vignaud, Jean-Michel (2013-06-01). "Desquamative interstitial pneumonia: an analytic review with an emphasis on aetiology". European Respiratory Review. 22 (128): 117–123. doi:10.1183/09059180.00005812. ISSN 0905-9180. PMC 9487388. PMID 23728865.
  7. Margaritopoulos, George A.; Harari, Sergio; Caminati, Antonella; Antoniou, Katerina M. (2016). "Smoking-related idiopathic interstitial pneumonia: A review". Respirology. 21 (1): 57–64. doi:10.1111/resp.12576. ISSN 1440-1843. PMID 26138798.
  8. Chakraborty, Rebanta K.; Basit, Hajira; Sharma, Sandeep (2020-08-12). Desquamative Interstitial Pneumonia. StatPearls Publishing. PMID 30252335.
  9. Paul K, Klettke U, Moldenhauer J, et al. (December 1999). "Increasing dose of methylprednisolone pulse therapy treats desquamative interstitial pneumonia in a child". Eur. Respir. J. 14 (6): 1429–32. doi:10.1183/09031936.99.14614299. PMID 10624777.
This article is issued from Wikipedia. The text is licensed under Creative Commons - Attribution - Sharealike. Additional terms may apply for the media files.