Physarum polycephalum
P. polycephalum plasmodium on tree bark
Scientific classification Edit this classification
Domain: Eukaryota
Phylum: Amoebozoa
Class: Myxogastria
Order: Physarales
Family: Physaraceae
Genus: Physarum
Species:
P. polycephalum
Binomial name
Physarum polycephalum
The life cycle of Physarum polycephalum. The outer circuit illustrates the natural cycle alternating between the haploid amoebal stage and diploid plasmodial stage. The inner circuit illustrates the fully haploid "apogamic" life cycle. Both cycles exhibit all developmental stages.
The life cycle of Physarum polycephalum. The outer circuit illustrates the natural cycle alternating between the haploid amoebal stage and diploid plasmodial stage. The inner circuit illustrates the fully haploid "apogamic" life cycle. Both cycles exhibit all developmental stages.

Physarum polycephalum, an acellular[1] slime mold or myxomycete popularly known as "the blob",[2] is a protist with diverse cellular forms and broad geographic distribution. The “acellular” moniker derives from the plasmodial stage of the life cycle: the plasmodium is a bright yellow macroscopic multinucleate coenocyte shaped in a network of interlaced tubes. This stage of the life cycle, along with its preference for damp shady habitats, likely contributed to the original mischaracterization of the organism as a fungus. P. polycephalum is used as a model organism for research into motility, cellular differentiation, chemotaxis, cellular compatibility, and the cell cycle.

Life cycle and characteristics

The two vegetative cell types, amoebae and plasmodia, differ markedly in morphology, physiology and behavior. Amoebae are microorganisms, typically haploid, that live primarily in the soil, where they phagocytose bacteria. In the laboratory, amoebae are grown on lawns of live or dead Escherichia coli on nutrient agar plates, where they can multiply indefinitely. Axenic culture of amoebae was achieved through selection of mutants capable of axenic growth.[3] Under conditions of starvation or desiccation, the amoebae differentiate reversibly into dormant spores with cell walls. When immersed in water, amoebae differentiate reversibly into flagellated cells, which involves a major reorganization of the cytoskeleton.[4]

The plasmodium is typically diploid and propagates via growth and nuclear division without cytokinesis, resulting in the macroscopic multinucleate syncytium; in other words, a large single cell with multiple nuclei. While nutrients are available, the network-shaped plasmodium can grow to a foot or more in diameter. Like amoebae, the plasmodium can consume whole microbes, but also readily grows axenically in liquid cultures, nutrient agar plates and on nutrient-moistened surfaces. When nutrients are provided uniformly, the nuclei in the plasmodium divide synchronously, accounting for the interest in using P. polycephalum as a model organism to study the cell cycle, or more specifically the nuclear division cycle. When the plasmodium is starved, it has two alternative developmental pathways. In the dark, the plasmodium typically differentiates reversibly into a dormant “sclerotium” (the same term is used for dormant forms of fungal mycelia, but the myxomycete sclerotium is a very different structure). When exposed to light, the starving plasmodium differentiates irreversibly into sporangia that are distinguished from other Physarum species by their multiple heads (hence polycephalum). Meiosis occurs during spore development, resulting in haploid dormant spores. Upon exposure to moist nutrient conditions, the spores develop into amoebae, or, in aqueous suspension, into flagellates. The life cycle is completed when haploid amoebae of different mating types fuse to form a diploid zygote that then develops by growth and nuclear division in the absence of cytokinesis into the multinucleate plasmodium.[5]

In laboratory strains carrying a mutation at the matA mating-type locus, the differentiation of P. polycephalum plasmodia can occur without the fusion of amoebae, resulting in haploid plasmodia that are morphologically indistinguishable from the more typical diploid form.[6] This enables easier genetic analysis of plasmodial traits that would otherwise require backcrossing to achieve homozygosity for analysis of recessive mutations in diploids. Sporangia from haploid plasmodia generate spores with low fertility, and it is assumed that viable spores develop from meiosis of rare diploid nuclei in the otherwise haploid P. polycephalum plasmodia. Apogamic development can also occur in nature in various species of myxomycetes.[7] In the figure of the P. polycephalum life cycle, the typical haploid-diploid sexual cycle is depicted in the outer circuit and the apogamic cycle in the inner circuit. Note that an apogamic amoeba retains its matA1 mating type specificity and can still fuse sexually with an amoeba of a different mating type to form a diploid heterozygous plasmodium—another characteristic that facilitates genetic analysis.

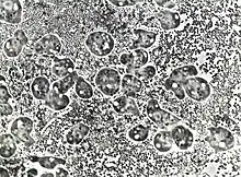
P. polycephalum amoebae growing on lawns of live E. coli. The bacterial cells are approx 1 micron in diameter, amoebae are approx 10 microns in diameter. Bright circular structures inside the amoebae are vacuoles, nuclei are pale grey circles each containing a darker nucleolus. (Phase contrast microscopy.)
P. polycephalum amoebae growing on lawns of live E. coli. The bacterial cells are approx 1 micron in diameter, amoebae are approx 10 microns in diameter. Bright circular structures inside the amoebae are vacuoles, nuclei are pale grey circles each containing a darker nucleolus. (Phase contrast microscopy.)

As the life cycle diagram indicates, amoebae and plasmodia differ markedly in their developmental potential. A remarkable further difference is the mechanism of mitosis. Amoebae exhibit “open mitosis” during which the nuclear membrane breaks down, as is typical of animal cells, before reassembling after telophase. Plasmodia exhibit “closed mitosis” during which the nuclear membrane remains intact. This presumably prevents nuclear fusion from occurring during mitosis in the multinucleate syncytium. In support of this inference, mutant amoebae defective in cytokinesis develop into multinucleate cells, and nuclear fusions during mitosis are common in these mutants.[8]

Cytoplasmic streaming

The plasmodium of myxomycetes, and especially that of Physarum polycephalum is known for its cytoplasmic streaming.[9] The cytoplasm undergoes a shuttle flow rhythmically flowing back and forth, changing direction typically every 100 seconds. Flows can reach speeds of up to 1mm/s. Within the tubular network flows arise due to the cross-sectional contractions of the tubes that are generated by the contraction and relaxation of the membranous outer layer of the tubes enriched with acto-myosin cortex. In stationary plasmodia, tubular contractions are spatially organized across the entire plasmodium in a peristaltic wave.[10]

Cytoplasmic streaming is likely to contribute to plasmodium migration. Here, contraction patterns are observed to correlate with migration speed.[11] For dumbbell-shaped microplasmodia, often termed Amoeboid plasmodia, stiffening of the cortex in the rear versus the front seems instrumental in breaking the symmetry for the contraction wave to translate into migration.[12]

Cytoplasmic flows enable long-ranged transport and dispersion of molecules within the cytoplasm. The physical mechanism employed here is Taylor dispersion. Under starvation the organism may reorganize its network morphology and thereby enhance its dispersion capabilities.[13] In fact, the flows are even hijacked to transport signals throughout the plasmodium network.[14] It is likely that the feedback of transported signals on tube size underlies Physarum's capability to find the shortest path through a maze.[15]

Situational behavior

Network created (Steiner tree problem) by P. polycephalum.
P. polycephalum plasmodium cultivating two "islands" of agar substrate overlying a glass coverslip.

Physarum polycephalum has been shown to exhibit characteristics similar to those seen in single-celled creatures and eusocial insects. For example, a team of Japanese and Hungarian researchers have shown P. polycephalum can solve the shortest path problem. When grown in a maze with oatmeal at two spots, P. polycephalum retracts from everywhere in the maze, except the shortest route connecting the two food sources.[15]

When presented with more than two food sources, P. polycephalum apparently solves a more complicated transportation problem. With more than two sources, the amoeba also produces efficient networks.[16] In a 2010 paper, oatflakes were dispersed to represent Tokyo and 36 surrounding towns.[17][18] P. polycephalum created a network similar to the existing train system, and "with comparable efficiency, fault tolerance, and cost". Similar results have been shown based on road networks in the United Kingdom[19] and the Iberian peninsula (i.e., Spain and Portugal).[20] P. polycephalum not only can solve these computational problems but also exhibits some form of memory. By repeatedly making the test environment of a specimen of P. polycephalum cold and dry for 60 minute intervals, Hokkaido University biophysicists discovered that the slime mold appears to anticipate the pattern by reacting to the conditions when they did not repeat the conditions for the next interval. Upon repeating the conditions, it would react to expect the 60 minute intervals, as well as testing with 30 and 90 minute intervals.[21][22]

P. polycephalum has also been shown to dynamically re-allocate to apparently maintain constant levels of different nutrients simultaneously.[23][24] In one particular instance, a specimen placed at the center of a Petri dish spatially re-allocated over combinations of food sources that each had different protein-carbohydrate ratios. After 60 hours, the slime mold area over each food source was measured. For each specimen, the results were consistent with the hypothesis that the amoeba would balance total protein and carbohydrate intake to reach particular levels that were invariant to the actual ratios presented to the slime mold.

As the slime mold does not have any nervous system that could explain these intelligent behaviours, there has been considerable interdisciplinary interest in understanding the rules that govern its behaviour. Scientists are trying to model the slime mold using a number of simple, distributed rules. For example, P. polycephalum has been modeled as a set of differential equations inspired by electrical networks. This model can be shown to be able to compute shortest paths.[25] A very similar model can be shown to solve the Steiner tree problem.[26] However, these models are externally consistent but not internally explanatory, and as is usual for modelling they simplify — in this case assuming conservation of energy. To build more realistic models, more data about the slime mold's network construction needs to be gathered. To this end, researchers are analysing the network structure of lab-grown P. polycephalum.[27]

In a book[28] and several preprints that have not been peer-reviewed,[29][30] it has been claimed that because plasmodia appear to react in a consistent way to stimuli, they are the "ideal substrate for future and emerging bio-computing devices".[30] An outline has been presented showing how it may be possible to precisely point, steer and cleave plasmodium using light and food sources,[30] especially Valerian root.[31] Moreover, it has been reported that plasmodia can be made to form logic gates,[29] enabling the construction of biological computers. In particular, plasmodia placed at entrances to special geometrically shaped mazes would emerge at exits of the maze that were consistent with truth tables for certain primitive logic connectives. However, as these constructions are based on theoretical models of the slime mold, in practice these results do not scale to allow for actual computation. When the primitive logic gates are connected to form more complex functions, the plasmodium ceased to produce results consistent with the expected truth tables.

Even though complex computations using Physarum as a substrate are currently not possible, researchers have successfully used the organism's reaction to its environment in a USB sensor[32] and to control a robot.[33]

Innate immunity

P. polycephalum produces its own antiviral substances. Mayhew & Ford 1971 find an extract of P. polycephalum prevents some crop diseases: Tobacco mosaic virus and tobacco ringspot virus are inhibited by a product of P. polycephalum. Both Nicotiana tabacum and the beans Phaseolus vulgaris and Vigna sinensis suffered almost no lesioning in vitro from TMV or TRSV when treated with a P. polycephalum extract. However, the southern bean mosaic virus was unaffected.[34][35]:288

Mitochondrial DNA

P. polycephalum exhibits a complex mitochondrial DNA (mtDNA) structure that is distinctive in both its composition and functional mechanisms. The mtDNA of Physarum polycephalum is characterized by its unique RNA editing process.

The mtDNA of P. polycephalum comprises up to 81 genes, of which a significant number are cryptogenes that require RNA editing for functional expression. These employ the co-transcriptional RNA editing process known as MICOTREM (Mitochondrial Insertional Cotranscriptional RNA Editing in Myxomycetes).[36] This process is crucial for the expression of 43 cryptogenes within the mtDNA. Unlike other organisms where RNA editing typically involves guide RNAs, MICOTREM involves the insertional editing of RNA, where specific non-templated nucleotides are added to the RNA transcript. The mitochondrial RNA polymerase facilitates this process by adding cytidines, uridines, or a subset of dinucleotides to the nascent RNA transcript at specific editing sites. The exact mechanism and specification of editing sites in MICOTREM are complex and not fully understood, with ongoing research focusing on the potential mechanisms involving RNA-DNA duplex formation and the role of mitochondrial RNA polymerase.

The mtDNA in this organism also includes sequences derived from a linear mitochondrial plasmid. [37]

See also

References

  1. Latty, Tanya; Beekman, Madeleine (2010-09-08). "Speed–accuracy trade-offs during foraging decisions in the acellular slime mould Physarum polycephalum". Proceedings of the Royal Society B: Biological Sciences. The Royal Society. 278 (1705): 539–545. doi:10.1098/rspb.2010.1624. ISSN 0962-8452. PMC 3025689. PMID 20826487.
  2. Julie Zaugg (17 October 2019). "The 'blob': Paris zoo unveils unusual organism which can heal itself and has 720 sexes". CNN. Retrieved 2021-08-17.
  3. McCullough, Claire (1978). "Genetic Factors Determining the Growth of Physarum polycephalum Amoebae in Axenic Medium" (PDF). Journal of General Microbiology. 106 (2): 297–306. doi:10.1099/00221287-106-2-297 via MicrobiologyResearch.org.
  4. Wright, Michel (1988). "Microtubule cytoskeleton and morphogenesis in the amoebae of the myxomycete Physarum polycephalum". Biology of the Cell. 63 (2): 239–248. doi:10.1016/0248-4900(88)90061-5. PMID 3060203. S2CID 46245376 via Science Direct.
  5. Dee, Jennifer (1960). "A Mating-type System in an Acellular Slime-mould". Nature. 185 (4715): 780–781. Bibcode:1960Natur.185..780D. doi:10.1038/185780a0. S2CID 4206149.
  6. Wheals, Alan (1970). "A homothallic strain of the myxomycete Physarum Polycephalum". Genetics. 66 (4): 623–633. doi:10.1093/genetics/66.4.623. PMC 1212520. PMID 5534845.
  7. Clark and Collins (1976). "Studies on the Mating Systems of Eleven Species of Myxomycetes". American Journal of Botany. 63 (6): 783–789. doi:10.1002/j.1537-2197.1976.tb11867.x. JSTOR 2442036.
  8. Burland, Timothy (1981). "Analysis of development and growth in a mutant of Physarum polycephalum with defective cytokinesis". Developmental Biology. 85 (1): 26–38. doi:10.1016/0012-1606(81)90233-5. PMID 7250516.
  9. Kamiya, N (1981). "Physical and chemical basis of cytoplasmic streaming". Annu Rev Plant Physiol. 32: 205–236. doi:10.1146/annurev.pp.32.060181.001225.
  10. Alim, K; Amselem, G; Peaudecerf, F; Brenner, MP; Pringle, Anne (2013). "Random network peristalsis in Physarum polycephalum organizes fluid flows across an individual". Proc Natl Acad Sci USA. 110 (33): 13306–11. Bibcode:2013PNAS..11013306A. doi:10.1073/pnas.1305049110. PMC 3746869. PMID 23898203.
  11. Rodiek, B; Takagi, S; Ueda, T; Hauser, MJB (2015). "Patterns of cell thickness oscillations during directional migration of Physarum polycephalum". Eur Biophys J. 44 (5): 349–58. doi:10.1007/s00249-015-1028-7. PMID 25921614. S2CID 7524789.
  12. Zhang, S; Lasheras, JC; del Alamo, JC (2019). "Symmetry breaking transition towards directional locomotion in Physarum microplasmodia". J Phys D: Appl Phys. 52 (49): 494004. Bibcode:2019JPhD...52W4004Z. doi:10.1088/1361-6463/ab3ec8. S2CID 196650933.
  13. Marbach, S; Alim, K; Andrew, N; Pringle, A; Brenner, MP (2016). "Pruning to increase Taylor dispersion in Physarum polycephalum networks". Phys Rev Lett. 117 (17): 178103. arXiv:1611.08306. Bibcode:2016PhRvL.117q8103M. doi:10.1103/PhysRevLett.117.178103. PMID 27824465.
  14. Alim, K; Andrew, N; Pringle, A; Brenner, MP (2017). "Mechanism of signal propagation in Physarum polycephalum". Proc Natl Acad Sci USA. 114 (20): 5136–5141. Bibcode:2017PNAS..114.5136A. doi:10.1073/pnas.1618114114. PMC 5441820. PMID 28465441.
  15. 1 2 Nakagaki, Toshiyuki; Yamada, Hiroyasu; Tóth, Ágota (2000). "Intelligence: Maze-solving by an amoeboid organism". Nature. 407 (6803): 470. Bibcode:2000Natur.407..470N. doi:10.1038/35035159. PMID 11028990. S2CID 205009141.
  16. Nakagaki, Toshiyuki; Kobayashi, Ryo; Nishiura, Yasumasa; Ueda, Tetsuo (November 2004). "Obtaining multiple separate food sources: Behavioural intelligence in Physarum plasmodium". Proceedings of the Royal Society B. 271 (1554): 2305–2310. doi:10.1098/rspb.2004.2856. PMC 1691859. PMID 15539357.
  17. Tero, Atsushi; Takagi, Seiji; Saigusa, Tetsu; Ito, Kentaro; Bebber, Dan P.; Fricker, Mark D.; Yumiki, Kenji; Kobayashi, Ryo; Nakagaki, Toshiyuki (January 2010). "Rules for biologically inspired adaptive network design" (PDF). Science. 327 (5964): 439–442. Bibcode:2010Sci...327..439T. doi:10.1126/science.1177894. PMID 20093467. S2CID 5001773. Archived from the original (PDF) on 2013-04-21.
  18. Moseman, Andrew (22 January 2010). "Brainless slime mold builds a replica Tokyo subway". Discover Magazine. Retrieved 22 June 2011.
  19. Adamatzky, Andrew; Jones, Jeff (2010). "Road planning with slime mould: If Physarum built motorways it would route M6/M74 through Newcastle". International Journal of Bifurcation and Chaos. 20 (10): 3065–3084. arXiv:0912.3967. Bibcode:2010IJBC...20.3065A. doi:10.1142/S0218127410027568. S2CID 18182968.
  20. Adamatzky, Andrew; Alonso-Sanz, Ramon (July 2011). "Rebuilding Iberian motorways with slime mould". Biosystems. 5 (1): 89–100. doi:10.1016/j.biosystems.2011.03.007. PMID 21530610.
  21. Saigusa, Tetsu; Tero, Atsushi; Nakagaki, Toshiyuki; Kuramoto, Yoshiki (2008). "Amoebae Anticipate Periodic Events" (PDF). Physical Review Letters. 100 (1): 018101. Bibcode:2008PhRvL.100a8101S. doi:10.1103/PhysRevLett.100.018101. hdl:2115/33004. PMID 18232821. S2CID 14710241.
  22. Barone, Jennifer (9 December 2008). "Top 100 stories of 2008 #71: Slime molds show surprising degree of intelligence". Discover Magazine. Retrieved 22 June 2011.
  23. Dussutour, Audrey; Latty, Tanya; Beekman, Madeleine; Simpson, Stephen J. (2010). "Amoeboid organism solves complex nutritional challenges". PNAS. 107 (10): 4607–4611. Bibcode:2010PNAS..107.4607D. doi:10.1073/pnas.0912198107. PMC 2842061. PMID 20142479.
  24. Bonner, John Tyler (2010). "Brainless behavior: A myxomycete chooses a balanced diet". PNAS. 107 (12): 5267–5268. Bibcode:2010PNAS..107.5267B. doi:10.1073/pnas.1000861107. PMC 2851763. PMID 20332217.
  25. Becchetti, Luca; Bonifaci, Vincenzo; Dirnberger, Michael; Karrenbauer, Andreas; Mehlhorn, Kurt (2013). "Physarum Can Compute Shortest Paths: Convergence Proofs and Complexity Bounds". Automata, Languages, and Programming (PDF). Lecture Notes in Computer Science. Vol. 7966. pp. 472–483. doi:10.1007/978-3-642-39212-2_42. ISBN 978-3-642-39211-5. Archived from the original (PDF) on 2017-08-13. {{cite book}}: |journal= ignored (help)
  26. Caleffi, Marcello; Akyildiz, Ian F.; Paura, Luigi (2015). "On the Solution of the Steiner Tree NP-Hard Problem via Physarum BioNetwork" (PDF). IEEE/ACM Transactions on Networking. PP (99): 1092–1106. doi:10.1109/TNET.2014.2317911. S2CID 2494159. Archived from the original (PDF) on 2020-08-06. Retrieved 2019-10-30.
  27. Dirnberger, Michael; Neumann, Adrian; Kehl, Tim (2015). "NEFI: Network Extraction From Images". Scientific Reports. 5 (15669): 15669. arXiv:1502.05241. Bibcode:2015NatSR...515669D. doi:10.1038/srep15669. PMC 4629128. PMID 26521675.
  28. Adamatzky, Andrew (2010). Physarum Machines: Computers from Slime Mould. World Scientific Series on Nonlinear Science, Series A. Vol. 74. World Scientific. ISBN 978-981-4327-58-9. Retrieved 31 October 2010.
  29. 1 2 Adamatzky, Andrew (2010). "Slime mould logical gates: Exploring ballistic approach". Applications, Tools, and Techniques on the Road to Exascale Computing. IOS Press. 2012: 41–56. arXiv:1005.2301. Bibcode:2010arXiv1005.2301A.
  30. 1 2 3 Adamatzky, Andrew (6 August 2008). "Steering plasmodium with light: Dynamical programming of Physarum machine". arXiv:0908.0850 [nlin.PS].
  31. Adamatzky, Andrew (31 May 2011). "On attraction of slime mould Physarum polycephalum to plants with sedative properties". Nature Precedings. doi:10.1038/npre.2011.5985.1.
  32. Night, Will (17 May 2007). "Bio-sensor puts slime mould at its heart". New Scientist. Retrieved 22 June 2011.
  33. Night, Will (13 February 2006). "Robot moved by a slime mould's fears". New Scientist. Retrieved 22 June 2011.
  34. Kovalenko, A.G. (1987). "Antivirale eigenschaften mikrobieller polysaccharide — ein überblick" [Antiviral Properties of Microbial Polysaccharides: A Review]. Zentralblatt für Mikrobiologie [Central Journal for Microbiology] (in German). Elsevier. 142 (4): 301–310. doi:10.1016/s0232-4393(87)80051-3. ISSN 0232-4393. S2CID 91507660.
  35. Horsfall, James G.; Cowling, Ellis B. (1977). Plant Disease : An Advanced Treatise. New York City: Academic Press. ISBN 978-0-12-356401-6. OCLC 2985657.
  36. Mahendran, R.; Spottswood, M. R.; Miller, D. L. (January 1991). "RNA editing by cytidine insertion in mitochondria of Physarum polycephalum". Nature. 349 (6308): 434–438. doi:10.1038/349434a0. ISSN 0028-0836.
  37. Hammar, Freya; Miller, Dennis L. (2023-03-02). "Genetic Diversity in the mtDNA of Physarum polycephalum". Genes. 14 (3): 628. doi:10.3390/genes14030628. ISSN 2073-4425. PMC 10048350. PMID 36980901.

Sources

This article is issued from Wikipedia. The text is licensed under Creative Commons - Attribution - Sharealike. Additional terms may apply for the media files.