SLC45A3
Identifiers
AliasesSLC45A3, IPCA-2, IPCA-6, IPCA-8, IPCA6, PCANAP2, PCANAP6, PCANAP8, PRST, solute carrier family 45 member 3
External IDsOMIM: 605097 MGI: 1922082 HomoloGene: 23813 GeneCards: SLC45A3
Orthologs
SpeciesHumanMouse
Entrez

85414

212980

Ensembl

ENSG00000158715

ENSMUSG00000026435

UniProt

Q96JT2

Q8K0H7

RefSeq (mRNA)

NM_033102

NM_001177628
NM_145977

RefSeq (protein)

NP_149093

NP_001171099
NP_666089

Location (UCSC)Chr 1: 205.66 – 205.68 MbChr 1: 131.89 – 131.91 Mb
PubMed search[3][4]
Wikidata
View/Edit HumanView/Edit Mouse

Solute carrier family 45 member 3 (SLC45A3), also known as prostate cancer-associated protein 6 or prostein, is a protein that in humans is encoded by the SLC45A3 gene.[5][6][7]

SLC45A3 is expressed in a prostate-specific manner by normal tissues and at a significantly lower level in prostate tumor cell lines. Treatment of prostate cancer cell lines with androgens upregulates the expression of SLC45A3.[7]

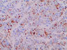
Immunohistochemistry of prostein in metastatic prostate adenocarcinoma to a lymph node, showing cytoplasmic staining.

Regulation

There is evidence that the expression of SLC45A3 is regulated by the microRNA mir-126*.[8]

References

  1. 1 2 3 GRCh38: Ensembl release 89: ENSG00000158715 - Ensembl, May 2017
  2. 1 2 3 GRCm38: Ensembl release 89: ENSMUSG00000026435 - Ensembl, May 2017
  3. "Human PubMed Reference:". National Center for Biotechnology Information, U.S. National Library of Medicine.
  4. "Mouse PubMed Reference:". National Center for Biotechnology Information, U.S. National Library of Medicine.
  5. "Entrez Gene: solute carrier family 45".
  6. Walker MG, Volkmuth W, Sprinzak E, Hodgson D, Klingler T (December 1999). "Prediction of gene function by genome-scale expression analysis: prostate cancer-associated genes". Genome Research. 9 (12): 1198–203. doi:10.1101/gr.9.12.1198. PMC 310991. PMID 10613842.
  7. 1 2 Xu J, Kalos M, Stolk JA, Zasloff EJ, Zhang X, Houghton RL, et al. (February 2001). "Identification and characterization of prostein, a novel prostate-specific protein". Cancer Research. 61 (4): 1563–8. PMID 11245466.
  8. Musiyenko A, Bitko V, Barik S (March 2008). "Ectopic expression of miR-126*, an intronic product of the vascular endothelial EGF-like 7 gene, regulates prostein translation and invasiveness of prostate cancer LNCaP cells". Journal of Molecular Medicine. 86 (3): 313–22. doi:10.1007/s00109-007-0296-9. PMC 3263384. PMID 18193184.

Further reading

This article is issued from Wikipedia. The text is licensed under Creative Commons - Attribution - Sharealike. Additional terms may apply for the media files.