Proliferating trichilemmal cyst
Proliferating trichilemmal cyst | |
---|---|
Other names: Proliferating pilar cyst [1] | |
![]() | |
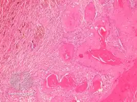
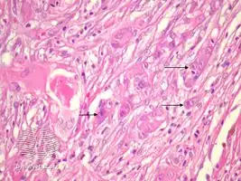
Proliferating tricholemmal (pilar) cyst | |
![]() |
Proliferating trichilemmal cysts (also known as a "Pilar tumor", "Proliferating follicular cystic neoplasm", "Proliferating pilar tumor", and "Proliferating trichilemmal tumor"[2]) are a cutaneous condition characterized by proliferations of squamous cells forming scroll-like structures.[2][3]: 678
- pathology-Proliferating trichilemmal cyst
- pathology-Proliferating trichilemmal cyst
- pathology-Proliferating trichilemmal cyst
- pathology-Proliferating trichilemmal cyst
See also
References
- ↑ "Proliferating trichilemmal cyst | Genetic and Rare Diseases Information Center (GARD) – an NCATS Program". rarediseases.info.nih.gov. Archived from the original on 29 August 2021. Retrieved 16 May 2019.
- 1 2 Rapini, Ronald P.; Bolognia, Jean L.; Jorizzo, Joseph L. (2007). Dermatology: 2-Volume Set. St. Louis: Mosby. ISBN 1-4160-2999-0.
- ↑ James, William D.; Berger, Timothy G.; et al. (2006). Andrews' Diseases of the Skin: Clinical Dermatology. Saunders Elsevier. ISBN 0-7216-2921-0.
External links
Classification | |
---|---|
External resources |
|
Template:Epidermal-growth-stub
This article is issued from Wmcloud. The text is licensed under Creative Commons - Attribution - Sharealike. Additional terms may apply for the media files.