Trichoepithelioma
Trichoepithelioma | |
---|---|
Other names: Brooke's tumour Epithelioma afenoides cysticum . | |
![]() | |
Trichoepithelioma | |
![]() | |
Specialty | Dermatology |
Usual onset | usually young adults |
Diagnostic method | Clinical history and examination are important. In a significant number of patients there is a familial trait. Examination will white, translucent, slightly raised papules which have a pearly white appearance. |
Treatment | Any suspicicion of malignant change calls for adequate excision and histological examination . The only other reason for treatment is cosmetic . Partial destruction is usually followed by regrowth . Many treatment modalities may be used including surgical excision , curettage , cryotherapy and dermabrasion . High energy pulsed carbon dioxide laser has also been advocated as a useful treatment . |
Trichoepithelioma is a neoplasm of the adnexa of the skin.[1] Its appearance is similar to basal cell carcinoma.[2]
Types
Trichoepitheliomas may be divided into the following types:[3]: 672
Pathology
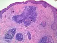
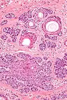
Trichoepitheliomas consisted of nests of basaloid cells. They lack the myxoid stroma and artefactual clefting seen in basal cell carcinoma. Mitoses are uncommon when compared to basal cell carcinoma.
One form has been mapped to chromosome 9p21.[4]
Images
- Trichoepithelioma (demoscopy)
- Micrograph of a trichoepithelioma. H&E stain.
- Trichoepithelioma-pathology
See also
References
- ↑ "Trichoepithelioma: Overview - eMedicine Dermatology". Archived from the original on 2017-09-22. Retrieved 2009-02-11.
{{cite web}}
: More than one of|archivedate=
and|archive-date=
specified (help); More than one of|archiveurl=
and|archive-url=
specified (help) - ↑ DE, Elder; D, Massi; RA, Scolyer; R, Willemze (2018). "1. Keratinocynic/epidermal tomours: Basal cell carcinoma". WHO Classification of Skin Tumours. Vol. 11 (4th ed.). Lyon (France): World Health Organization. pp. 26–34. ISBN 978-92-832-2440-2. Archived from the original on 2022-07-11. Retrieved 2022-08-08.
{{cite book}}
: More than one of|accessdate=
and|access-date=
specified (help); More than one of|archivedate=
and|archive-date=
specified (help); More than one of|archiveurl=
and|archive-url=
specified (help) - ↑ James, William D.; Berger, Timothy G.; et al. (2006). Andrews' Diseases of the Skin: Clinical Dermatology. Saunders Elsevier. ISBN 0-7216-2921-0.
- ↑ Salhi A, Bornholdt D, Oeffner F, et al. (August 2004). "Multiple familial trichoepithelioma caused by mutations in the cylindromatosis tumor suppressor gene". Cancer Res. 64 (15): 5113–7. doi:10.1158/0008-5472.CAN-04-0307. PMID 15289313. Archived from the original on 2013-02-23. Retrieved 2020-12-14.
{{cite journal}}
: More than one of|accessdate=
and|access-date=
specified (help); More than one of|archivedate=
and|archive-date=
specified (help); More than one of|archiveurl=
and|archive-url=
specified (help)
External links
Classification |
---|
This article is issued from Wmcloud. The text is licensed under Creative Commons - Attribution - Sharealike. Additional terms may apply for the media files.